Zachowawcze interdyscyplinarne postępowanie estetyczne w przypadku bliźniaczych i nadliczbowych zębów siecznych szczęki
- Anomalie zębowe - czym są i jak się objawiają? Jakie wyróżniamy anomalie?
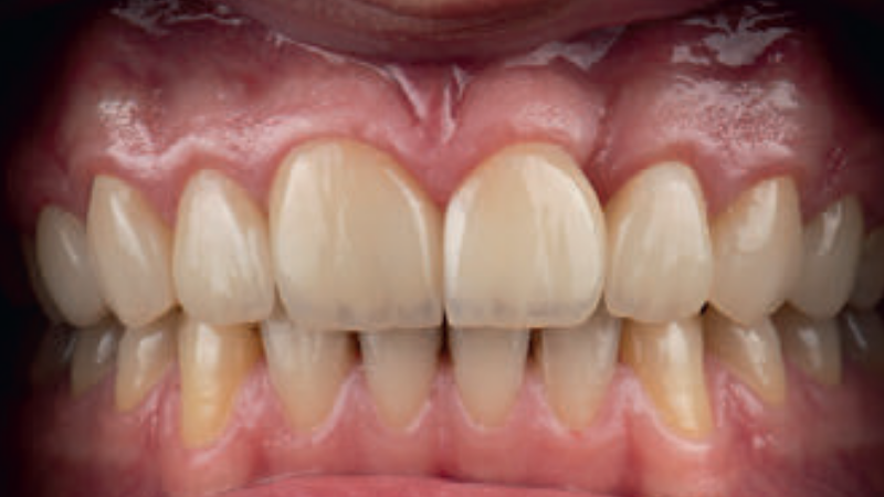
- Opis przypadku: 18-letni pacjent z zębem bliźniaczym i nadliczbowym.
- Opis terapii. Jakie leczenie zaproponowało i co obejmowały poszczególne kroki? Wielodyscyplinarne zachowawcze podejście wraz z analizą cyfrową.

Słowa kluczowe: licówki ceramiczne, ortodoncja, ząb dodatkowy, ząb bliźniaczy
Keywords: dental veneers, orthodontics, supernumerary tooth, tooth gemination
Streszczenie: Prezentowany opis przypadku dotyczy 18-letniego mężczyzny. U pacjenta wśród siekaczy szczęki stwierdzono obecność zęba bliźniaczego i nadliczbowego, które powodowały stłoczenia i problemy estetyczne w odcinku przednim uzębienia. W terapii zastosowano zachowawcze leczenie interdyscyplinarne, które obejmowało analizę cyfrową, usunięcie zęba nadliczbowego, leczenie ortodontyczne i wykonanie licówek ceramicznych. To wielodyscyplinarne zachowawcze podejście wraz z analizą cyfrową zapewniło zachowanie żywotności zęba bliźniaczego oraz poprawę estetyki, funkcji i samooceny uzębienia pacjenta.
Summary: This clinical report describes an 18-year-old male patient that had geminated and supernumerary maxillary incisor teeth causing anterior dental crowding and esthetic problems. In this case, a conservative interdisciplinary approach that included digital analysis, supernumerary tooth extraction, orthodontic space management, and ceramic veneers was done. With these conservative multidisciplinary treatments and digital analysis, the vitality of the geminated tooth was maintained, and the esthetic, function, and patient self-esteem were [...]
którzy są subskrybentami naszego portalu.
i ciesz się dostępem do bazy merytorycznej wiedzy!



