Prosta droga do pięknego uśmiechu. Mikrowarstwowanie z CERABIEN™ MiLai
- Przebieg pracy w laboratorium.
- Jakie są ważne etapy procedury wykończenia?

Title: The easy way to a beautiful smile. Microlayering with CERABIEN™ MiLai
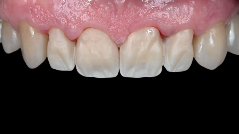
Streszczenie: Niezależnie od tego, czy są to osoby młode, czy starsze, kobiety czy mężczyźni, nasi pacjenci zasługują na piękny uśmiech, który harmonijnie współgra z pozostałymi zębami, rysami twarzy, charakterem oraz indywidualnymi potrzebami. Aby tworzyć unikalne uzupełnienia protetyczne, które realnie zmieniają życie ich użytkowników na lepsze, my jako technicy dentystyczni musimy uważnie obserwować i wsłuchiwać się w historie naszych pacjentów.
Słowa kluczowe: mikrowarstwowanie, CERABIEN™ MiLai, ceramika
Summary: Whether young or old, women or men, our patients deserve a beautiful smile that harmonizes with their remaining teeth, facial features, personality, and individual needs. To create unique prosthetic restorations that truly improve the lives of their users, we, as dental technicians, must carefully observe and listen to our patients’ stories.
Keywords: microlayering, CERABIEN™ MiLai, ceramics
Musimy uważnie obserwować i wsłuchiwać się w historie naszych pacjentów. Idealnym tego przykładem jest pan Andreas, który zgłosił się do gabinetu stomatologicznego z prośbą o kompleksową rekonstrukcję uzębienia i poprawę estetyki uśmiechu, prosząc o naturalny projekt uzupełnień dopasowany do jego wieku.
Po dokładnej obserwacji i wysłuchaniu pacjenta zdecydowano, [...]
którzy są subskrybentami naszego portalu.
i ciesz się dostępem do bazy merytorycznej wiedzy!


