Sterowana regeneracja kostna z wykorzystaniem wiórów kości gąbczastej pobranej z piszczeli w dużych ubytkach kostnych szczęki i żuchwy powstałych w wyniku wyłuszczenia zmian o charakterze torbieli
- Ocena gojenia, powikłań wczesnych, późnych oraz przebudowy kostnej w grupie pacjentów, u których zastosowano przeszczep wiórów kości gąbczastej pobranej z piszczeli.
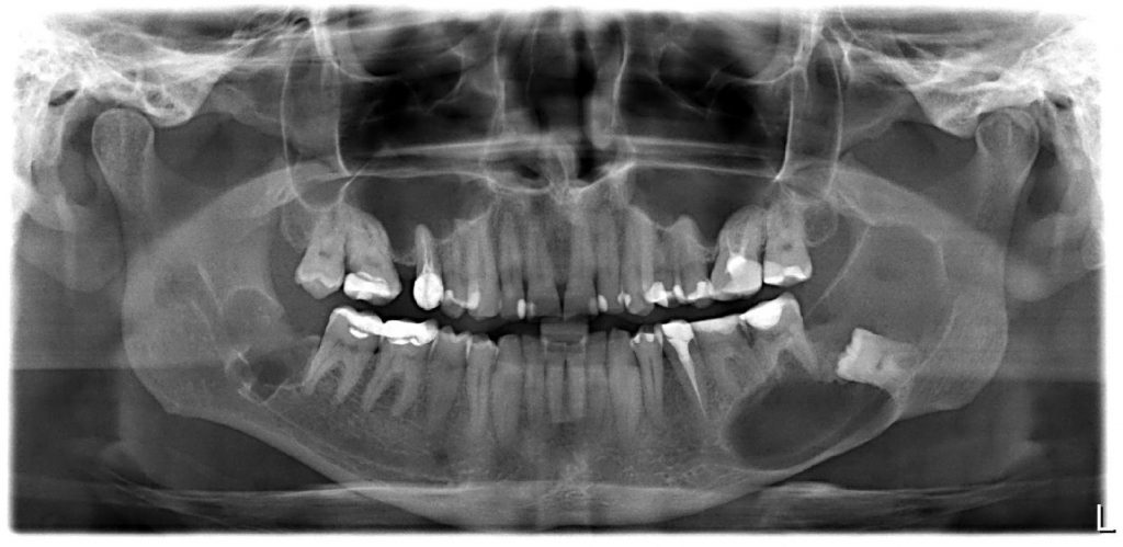
- Przedmiotem dyskusji jest regeneracja dużych ubytków kostnych kości szczęk i żuchwy powstałych w wyniku wyłuszczenia zmian łagodnych.

TITLE: Guided Bone Regeneration using tibia bone graft, for the reconstruction of giant intrabone defects in mandible and maxilla, after removal of odontogenic cysts
STRESZCZENIE: Wstęp. Przedmiotem dyskusji jest regeneracja dużych ubytków kostnych kości szczęk i żuchwy powstałych w wyniku wyłuszczenia zmian łagodnych.
Cel. Ocena gojenia, powikłań wczesnych, późnych oraz przebudowy kostnej w grupie pacjentów, u których zastosowano przeszczep wiórów kości gąbczastej pobranej z piszczeli.
Materiał i metoda. Retrospektywną analizą objęto 24 pacjentów, operowanych w latach 2014-2017, u których stwierdzono duży ubytek kostny. Sterowaną regenerację kostną przeprowadzono z wykorzystaniem autogennych wiórów kości gąbczastej pobranej z kości piszczelowej.
Wyniki. U wszystkich pacjentów stwierdzono prawidłową przebudowę kostną. Do powikłań zaliczono rozejście się brzegów rany, obecność parestezji oraz ból kończyny operowanej.
Wnioski. Zastosowanie przeszczepu wiórów kości gąbczastej z piszczeli jest jedną z możliwości wspomagania sterowanej regeneracji kostnej.
SŁOWA KLUCZOWE: sterowana regeneracja kostna, torbiel zębopochodna, torbiel
SUMMARY: Introduction. Regeneration of large bone defects in jaws and mandible, is the subject of discussion.
Aim. [...]
którzy są subskrybentami naszego portalu.
i ciesz się dostępem do bazy merytorycznej wiedzy!



