CBCT jako nieodłączny element diagnostyki w trudnych przypadkach klinicznych – zewnętrzna resorpcja przyszyjkowa. Opis przypadku
- Jak wygląda podział zapalnej resorpcji przyszyjkowej na 4 kategorie?
- Czym jest zewnętrzna resorpcja przyszyjkowa i jakie są jej cechy charakterystyczne?

Title: CBCT as an integral part of the diagnosis in difficult clinical cases – external cervical resorption. A case report
Słowa kluczowe: resorpcja zewnętrzna przyszyjkowa, tomografia komputerowa wiązki stożkowej (CBCT)
Keywords: external cervical resorption, cone beam computed tomography (CBCT)
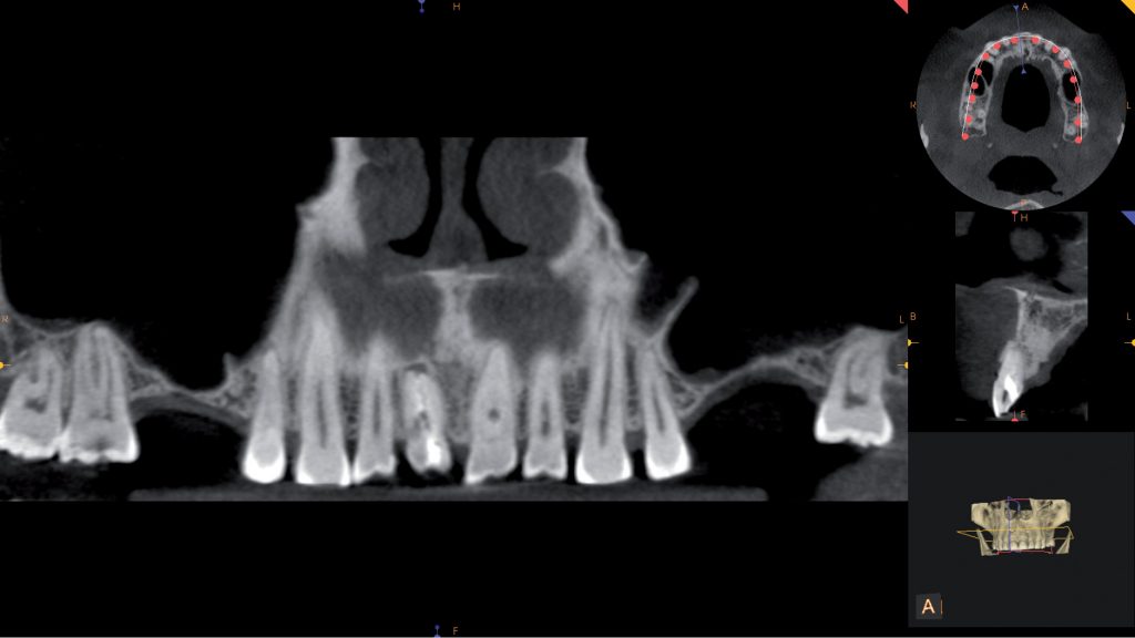
Streszczenie: Zewnętrzna resorpcja przyszyjkowa jest odmianą zewnętrznej resorpcji korzenia. Jej cechami charakterystycznymi są położenie w obszarze przyszyjkowym oraz infiltracyjny wzrost. W artykule przedstawiono korzyści z zastosowania badania CBCT w diagnostyce i planowaniu leczenia zewnętrznej resorpcjii przyszyjkowej. Opisany przypadek prezentuje postępowanie zachowawczo-chirurgiczne u pacjenta z zewnętrzną resorpcją przyszyjkową w zębie 11.
Summary: External resorption is a variation of the external cervical stage of root resorption. Its characteristic feature is its location in the cervical area and increase infiltration. The article presents the benefits of using CBCT examination in the diagnosis and treatment planning of external cervical resorption. This case presents a conservative surgical procedure in a patient with external cervical resorption in the tooth 11.
Zewnętrzna resorpcja przyszyjkowa (ECR) dotyczy zębów stałych i należy do grupy resorpcji zewnętrznych, ale różni się zasadniczo pod [...]
którzy są subskrybentami naszego portalu.
i ciesz się dostępem do bazy merytorycznej wiedzy!



