Ciało obce w zatoce szczękowej – opis przypadku
- Ciała obce w zatokach szczękowych – przyczyny powstania.
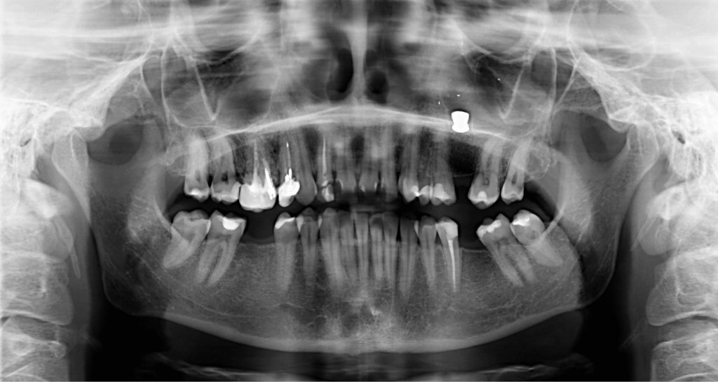
- Opis przypadku 40-letniej pacjentki z ciałem obcym w zatoce szczękowej.

Title: Foreign body in the maxillary sinus – a case report
Streszczenie: Celem pracy jest przedstawienie przypadku 40-letniej pacjentki z ciałem obcym (śrutem) w zatoce szczękowej lewej zdiagnozowanym przypadkowo po wykonaniu zdjęcia panoramicznego zębów.
Słowa kluczowe: ciało obce, zatoka szczękowa, śrut
Summary: The aim of the paper is to present a case of a 40-year-old patient with a foreign body (buckshot) located in the maxillary sinus, accidentally diagnosed during panoramic dental X-ray examination.
Keywords: foreign body, maxillary sinus, buckshot
Zatoki przynosowe są pneumatycznymi przestrzeniami zlokalizowanymi w kościach czaszki twarzowej połączonymi z jamą nosową. Do grupy zatok przynosowych zaliczamy: parzyste zatoki szczękowe, klinowe, czołowe oraz komórki sitowe (1). Ze względu na rozmiar, położenie oraz anatomiczne uwarunkowania, w tym możliwość kontaktu z korzeniami zębów, ciała obce najczęściej, w około 50-75%, diagnozowane są w obrębie zatok szczękowych (2).
Przypadki ciał obcych zlokalizowanych w zatokach szczękowych są relatywnie częste. Zdarza się to głównie na skutek powikłań jatrogennych podczas leczenia stomatologicznego. Do najczęstszych przyczyn należą: wtłoczenie korzeni zębów podczas ekstrakcji, przemieszczenie implantów zębowych do [...]
którzy są subskrybentami naszego portalu.
i ciesz się dostępem do bazy merytorycznej wiedzy!



