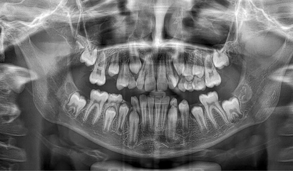
Dodatkowy kieł w szczęce – opis przypadku
- Czym jest ząb nadliczbowy?
- Jaką terapię wdrożyć u młodego pacjenta?

TITLE: Supernumerary maxillary canine – a case report
STRESZCZENIE: Występowanie zębów nadliczbowych w okolicy kła szczęki jest bardzo rzadką anomalią zębową. Oszacowano, że stanowią jedynie 1,5% przypadków zębów nadliczbowych. Ich etiologia wciąż pozostaje nieznana. Celem pracy było opisanie przypadku 10-letniego chłopca bez chorób współtowarzyszących, u którego wykryto nadliczbowy kieł w szczęce i wdrożono terapię ekstrakcyjną.
SUMMARY: The presence of supernumerary teeth in the area of the maxillary canine is a very rare dental anomaly. It is estimated that they account for only 1.5% of cases of supernumerary teeth. Their aetiology is still unknown. The aim of the paper is to describe a case of a 10-year-old boy without concomitant diseases in whom a supernumerary canine was detected in the maxilla and an extraction therapy was implemented.
SŁOWA KLUCZOWE: zęby nadliczbowe, nadliczbowy kieł
KEYWORDS: supernumerary teeth, supernumerary canine
Ząb nadliczbowy to taki, który pojawia się dodatkowo w normalnym uzębieniu i może być znaleziony w każdym miejscu łuku zębowego (1). Często towarzyszy temu zjawisku brak innego zęba, np. przy pięciu dolnych zębach siecznych mogą być obecne tylko trzy zęby trzonowe. Może występować jako ząb pojedynczy [...]



