Estetyczna korekta uzębienia
- Kompozyt w służbie estetyki – fundament nowoczesnej korekty uzębienia.
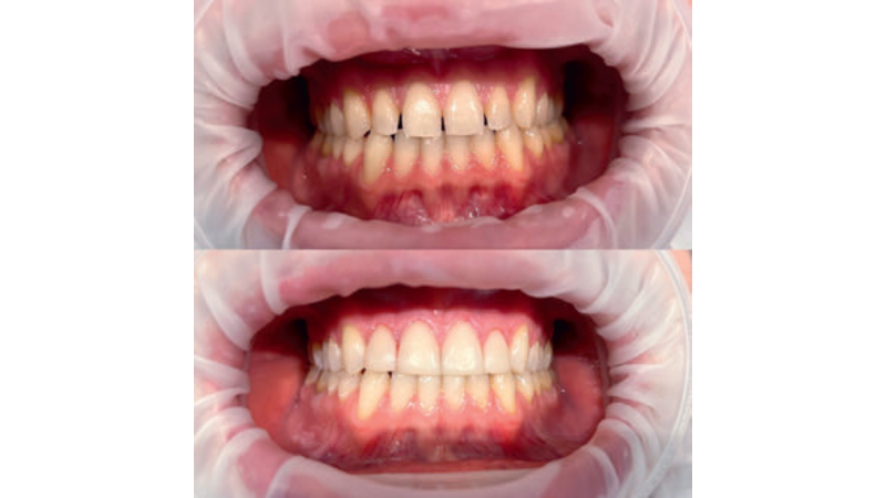
- Poprawa kształtu zębów kompozytem – estetyczna odbudowa w odcinku przednim.
- Wymiana starych, nieszczelnych, nieestetycznych wypełnień na nowe.

Title: Aesthetic dental correction
Streszczenie: Współczesna stomatologia estetyczna stoi na fundamencie integracji technologii materiałowej z filozofią minimalnej inwazyjności i biologicznego poszanowania tkanek własnych pacjenta. Z klinicznego punktu widzenia elastyczność zastosowań, nieinwazyjność i przewidywalność efektów czynią z kompozytu materiał pierwszego wyboru w estetycznej stomatologii XXI wieku. W artykule opisano metody estetycznej korekty uzupełnienia zębów.
Słowa kluczowe: korekta estetyczna, minimalna inwazyjność, odbudowa zębów
Summary: Contemporary aesthetic dentistry is founded on the integration of material technology with a philosophy of minimal invasiveness and biological respect forthe patient’s own tissues. From a clinical perspective, it is flexibility of application, non-invasiveness, and predictable results thatmake composites the first-choice materialin 21st-century aesthetic dentistry. This article describes methods of aesthetic correctionof tooth restorations.
Keywords: aesthetic correction, minimalinvasiveness, tooth restoration
Współczesna stomatologia estetyczna skupia się na minimalnie inwazyjnych metodach poprawy wyglądu zębów, odpowiadając na rosnące oczekiwania pacjentów względem pięknego [...]
którzy są subskrybentami naszego portalu.
i ciesz się dostępem do bazy merytorycznej wiedzy!



