ICON – nowoczesna metoda infiltracyjna leczenia próchnicy wczesnej

TITLE: ICON – a modern infiltration method of early caries treatment
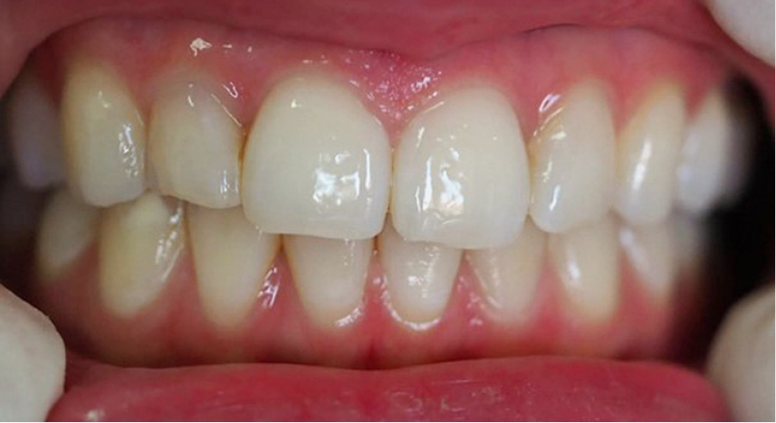
STRESZCZENIE: Próchnica początkowa obserwowana jako biała plama w obrębie szkliwa jest często spotykanym problemem w praktyce klinicznej. Prawidłowa diagnostyka i wdrożenie leczenia za pomocą systemu Icon mogą niejednokrotnie okazać się skutecznymi narzędziami walki z tym problemem. Praca zawiera opis przypadku leczenia zmiany na zębie 43 poprzez infiltrację.
SŁOWA KLUCZOWE: infiltracja próchnicy, biała plama próchnicowa
SUMMARY: Initial caries, seen as a white enamel spot, is a common problem in clinical practice. Proper diagnostics and the implementation of treatment using the Icon system can often prove to be an effective tool to combat this problem. The article describes a case of treating a lesion on tooth 43 by infiltration.
KEYWORDS: caries infiltration, white spot lesions
Stomatologia zachowawcza rozwija się w kierunku minimalnie inwazyjnego leczenia próchnicy na wczesnych jej etapach, dążąc do jak najmniejszego usuwania tkanek własnych zęba. Priorytetami są: jak najszybsze wykrycie zmian próchnicowych, dokładne określenie ich stadium oraz dobranie najlepszej metody leczenia (1).
Nieefektywna higiena jamy ustnej powodująca zaleganie płytki nazębnej na powierzchniach gładkich i stycznych zębów może w konsekwencji prowadzić do demineralizacji szkliwa. Dowiedziono również, że zamocowane zamki ortodontyczne stwarzają obszary [...]
którzy są subskrybentami naszego portalu.
i ciesz się dostępem do bazy merytorycznej wiedzy!




