Korekcja poważnej wady szkieletowej klasy II ze zgryzem otwartym i z dysfunkcją stawu skroniowo-żuchwowego z zastosowaniem zakotwienia na miniśrubach i ekstrakcji zęba trzonowego – opis przypadku
- Opis przypadku 42-letnią Japonki z poważną wadą szkieletową klasy II ze zgryzem otwartym i z dysfunkcją stawu skroniowo-żuchwowego - jakie leczenie zaproponowano?
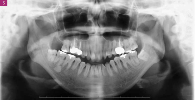
- Etap leczenia krok po kroku.
- Obserwacje efektów po 2 latach od zastosowanej terapii.

Streszczenie: Wprowadzenie. Niewiele jest publikacji opisujących leczenie zgryzu otwartego z dysfunkcją stawu skroniowo-żuchwowego metodą intruzji zębów trzonowych za pomocą miniśrub. Opis przypadku. Niniejsze doniesienie przedstawia 42-letnią Japonkę z poważną wadą szkieletową klasy II ze zgryzem otwartym i z dysfunkcją stawu skroniowo-żuchwowego. Rezonans magnetyczny obu stawów skroniowo-żuchwowych przed leczeniem wykazał zmiany zwyrodnieniowe i doprzednie przemieszczenie krążka stawowego bez redukcji w obu stawach skroniowo-żuchwowych. Przed leczeniem ortodontycznym zastosowano szynę stabilizującą i dokonano obustronnej ekstrakcji górnych i dolnych zębów przedtrzonowych. Od strony podniebiennej w szczęce umieszczono miniśruby, aby uzyskać intruzję zębów trzonowych i uniknąć utraty zakotwienia. Usunięto również pierwszy lewy trzonowiec górny, aby poprawić relację trzonowców i linię środkową łuku zębowego. Uzyskano prawidłowy nagryz pionowy i poziomy z relacją trzonowców w kl. I Angle’a, oraz zbieżność lini środkowej górnego i dolnego łuku zębowego. W 2-letnim okresie obserwacji uzębienie pacjentki pozostało stabilne, a stawy skroniowo-żuchwowe nie powodowały objawów. Wnioski. W przypadku poważnej wady szkieletowej klasy II ze zgryzem otwartym możliwa jest intruzja zębów trzonowych z zastosowaniem miniśrub.
Słowa kluczowe: zgryz [...]
którzy są subskrybentami naszego portalu.
i ciesz się dostępem do bazy merytorycznej wiedzy!




