Leczenie endodontyczno-chirurgiczne siekacza bocznego szczęki z resorpcją wewnętrzną typu B
- Torbiel korzeniowa - czym jest i jak się objawia?
- Jaki jest przebieg resorpcji wewnętrznej?
- Przypadek leczenia 34-letniej pacjentki, u której rozpoznano torbiel korzeniową szczęki.

Title: Endodontic and surgical treatment of a lateral maxillary incisor with internal type B resorption
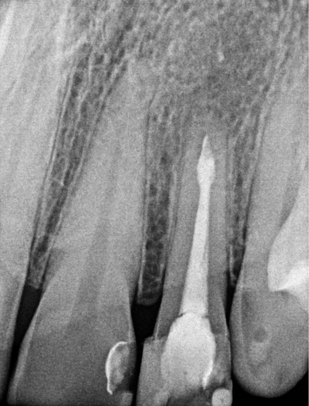
Streszczenie: W pracy opisano leczenie endodontyczno-chirurgiczne 34-letniej pacjentki, u której rozpoznano torbiel korzeniową szczęki. Torbiel zębopochodną wyłuszczono po uprzednim leczeniu endodontycznym przyczynowego zęba 22 z resorpcją wewnętrzną typu B. Na podstawie zdjęć kontrolnych wykonanych po 3, 12 i 24 miesiącach od zakończenia leczenia można stwierdzić, że rokowanie dotyczące leczenia zęba jest pomyślne.
Słowa kluczowe: torbiel korzeniowa, resekcja wierzchołka korzenia, resorpcja wewnętrzna, leczenie endodontyczne
Summary: The paper presents a case of the endodontic and surgical treatment of a periapical radicular cyst in a 34-year-old patient.
The odontogenic cyst was removed by curettage after the root canal treatment of the tooth with internal type B resorption. On the basis of the checkup radiographs taken after 3, 12 and 24 months, it is possible to conclude that the prognosis for the survival of the tooth is good.
Keywords: apical cyst, apicoectomy, internal resorption, endodontic treatment
Resorpcja jest to zespół czynników fizjologicznych [...]
którzy są subskrybentami naszego portalu.
i ciesz się dostępem do bazy merytorycznej wiedzy!



