Licówki ceramiczne w odcinku estetycznym 12-22 – opis przypadku
- Jak przygotować pacjenta do leczenia estetycznego przy użyciu licówek ceramicznych?
- Jakie są wskazania i przeciwwskazania do zastosowania licówek ceramicznych?
- Jak wykonać badanie wewnątrzustne i na co należy zwrócić uwagę?

TITLE: Ceramic veneers in the aesthetic region 12-22 – a case report
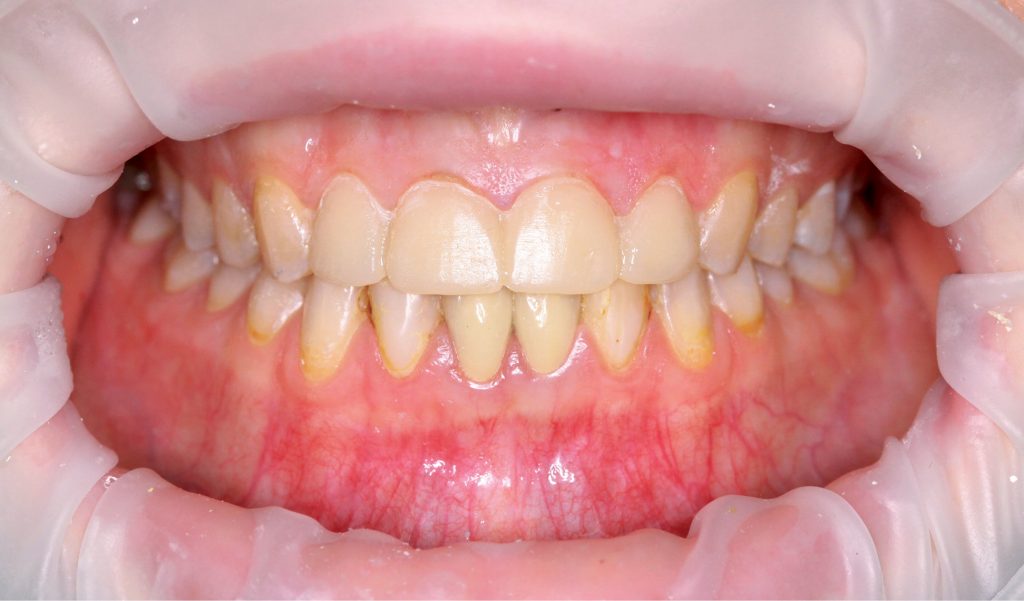
STRESZCZENIE: Poprawa estetyki uzębienia przy wykorzystaniu licówek jest obecnie często stosowana w praktyce lekarza dentysty. W pracy opisano przypadek 24-letniej pacjentki, która trafiła do gabinetu stomatologicznego w celu poprawy estetyki zębów siecznych szczęki. Opisano przebieg procesu przygotowania pacjentki do leczenia estetycznego przy użyciu licówek ceramicznych. Omówiono etapy oraz przedstawiono wyniki leczenia.
SŁOWA KLUCZOWE: licówki ceramiczne, poprawa estetyki uzębienia, licówki
SUMMARY: Currently, improving the aesthetics of teeth using veneers is often used in the dental practice. This paper presents a case of a 24-year-old patient who was admitted to a dental office to improve the aesthetics of the maxillary incisors. The process of preparing the patient for an aesthetic treatment using ceramic veneers is described. The stages of the treatment are discussed and its results are presented.
KEYWORDS: ceramic veneers, dental aesthetics, veneers
Pojęciem „licówki” określamy uzupełnienie protetyczne stałe, które pokrywa wargową, a czasami także podniebienną [...]
którzy są subskrybentami naszego portalu.
i ciesz się dostępem do bazy merytorycznej wiedzy!




