Nowoczesne podejście do rehabilitacji protetycznej w połączeniu z konstrukcjami zdejmowanymi z zębów zachowanych
- Artykuł przedstawia opis przypadku z zastosowaniem strategii w systemach OT Strategy i Ot Equator.

TITLE: Modern approach to prosthetic rehabilitation with removable constructions on saved teeth
STRESZCZENIE: Artykuł przedstawia opis przypadku z zastosowaniem strategii w systemach OT Strategy i Ot Equator.
SŁOWA KLUCZOWE: rehabilitacja protetyczna, proteza zdejmowana, OT Strategy, Ot Equator
SUMMARY: The article presents a report of a case using strategy systems OT Strategy and Ot Equator.
KEYWORDS: prosthetic rehabilitation, removable denture, OT Strategy, Ot Equator
Rehabilitacja protetyczna po połączeniu filarów w uzębieniu resztkowym protezą ruchomą może wydawać się anachronizmem w epoce implantologii. Jednak w niektórych przypadkach może być cennym narzędziem terapeutycznym, gdy różne rozwiązania protetyczne są niewskazane lub odrzucone przez pacjenta lub gdy w częściowo bezzębnym wyrostku nastąpiła utrata właściwości do pozycjonowania elementów, co mogłoby mieć wpływ na estetyczne powodzenie rehabilitacji. Zastosowanie systemu frezowania i przeciwfrezowania, kiedy mieści się w ustalonym obrębie protezy (modelowanie z gotowymi elementami zatrzasków), pozwala na uzyskanie i utrzymanie optymalnej stabilnością protezy oraz zarządzanie nią, co zminimalizuje nacisk na zębach filarowych. Rozwiązanie przedstawione w przypadku klinicznym, w którym zastosowanie OT Strategy i zatrzasków Equator (Rhein’83), powiązane z odpowiednią konstrukcją podstawową, umożliwia rehabilitację pacjenta z uzębieniem resztkowym.
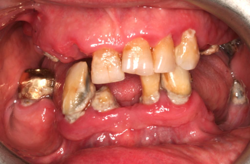
Opis przypadku
Pacjent, w wieku 74 lat, zgłosił się do leczenia protetycznego z ciężkimi zaburzeniami tkanek przyzębia, zaawansowaną próchnicą, ze szczątkowymi elementami zębów po niepowodzeniach dotychczasowych uzupełnień, z utratą wymiaru pionowego okluzji oraz ekstremalną resorpcją kości w tylnym obszarze łuku żuchwy [...]



