Estetyczna odbudowa zębów przednich z zastosowaniem kompozytowych licówek warstwowych
- Jak przeprowadzić minimalnie inwazyjną odbudowę górnych siekaczy za pomocą licówek?
- Jak wygląda preparacja zębów i pobieranie wycisku w gabinecie?

TITLE: Esthetic rehabilitation of anterior teeth with laminate composite veneers
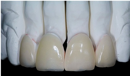
STRESZCZENIE: Licówki niewymagające preparacji lub wymagające jej tylko w minimalnym stopniu, co wiąże się z oszczędzaniem szkliwa, dają przewidywalne wyniki w stomatologii estetycznej; pośrednie addycyjne odbudowy kompozytowe zębów przednich stanowią szybką, minimalnie inwazyjną, niedrogą i nadającą się do naprawy opcję estetycznej korekty uśmiechu. Współczesne techniki laboratoryjne w połączeniu z rygorystycznym przestrzeganiem protokołu prac klinicznych zaspokajają potrzeby pacjentów w zakresie odbudowy i estetyki. Przedstawiony opis przypadku opisuje minimalnie inwazyjną odbudowę czterech górnych siekaczy za pomocą licówek warstwowych z nanohybrydowego kompozytu żywicznego. Zaproponowano krok po kroku plan oceny diagnostycznej, wykonania i przymiarki licówek tymczasowych, preparacji zębów i pobrania wycisków oraz cementowania adhezyjnego. Skuteczność tej metody rehabilitacji estetycznej zębów przednich została potwierdzona usunięciem wyjściowych problemów estetycznych, zadowoleniem pacjenta i dobrą integracją odbudów pośrednich.
SŁOWA KLUCZOWE: licówki warstwowe, odbudowa zębów
SUMMARY: No- or minimal-preparation veneers associated with enamel preservation offer predictable results in esthetic dentistry; indirect additive anterior composite restorations represent a quick, minimally invasive, inexpensive, and repairable option for a smile enhancement treatment plan. Current laboratory techniques associated with a strict clinical protocol satisfy patients’ [...]
którzy są subskrybentami naszego portalu.
i ciesz się dostępem do bazy merytorycznej wiedzy!




