Protokół leczenia ortodontycznego wady klasy II z zastosowaniem miniimplantów u pacjentki specjalnej troski
- Przedstawienie opisu przypadku, w którym uzyskano satysfakcjonujące wyniki leczenia – zarówno funkcjonalne, jak i estetyczne – u pacjentki z upośledzeniem umysłowym, wrodzonym oczopląsem i ciężką skoliozą.

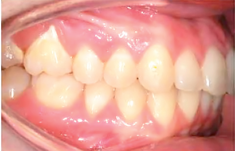
Streszczenie: Główne potrzeby, z powodu których pacjenci specjalnej troski zgłaszają się do leczenia ortodontycznego, to chęć poprawy wyglądu twarzy i uzębienia oraz interakcji społecznych. Współpraca pacjentów i ich rodziców ma decydujące znaczenie dla sukcesu leczenia. Cel publikacji: przedstawienie opisu przypadku, w którym uzyskano satysfakcjonujące wyniki leczenia – zarówno funkcjonalne, jak i estetyczne – u pacjentki z upośledzeniem umysłowym, wrodzonym oczopląsem i ciężką skoliozą. Zastosowane materiały: aparat stały Pendulum z miniimplantami jako narzędziem zakotwienia. Wyniki: poprawa estetyki twarzy i uzębienia, korekta wady zgryzu klasy II i brak resorpcji korzeni w badaniu radiologicznym. Wniosek: istotnymi czynnikami sukcesu leczenia okazały się: poznanie ograniczeń pacjentów specjalnej troski, zmotywowanie do współpracy rodziców i pacjentki, posiadanie dobrze wyszkolonego zespołu, a także dobór szybkiej i niedrogiej metody leczenia ortodontycznego.
Słowa kluczowe: pacjent specjalnej troski, klasa II, aparat stały Pendulum
Jako pacjentów specjalnej troski określamy tych, których zachowanie i umiejętności nie osiągają poziomu danej grupy wiekowej. Częstość występowania u tych pacjentów poważnych wad zgryzu, które wymagają leczenia ortodontycznego, jest duża [1]. Celem leczenia ortodontycznego jest nie tylko poprawa funkcji, ale i estetyki [2]. [...]
którzy są subskrybentami naszego portalu.
i ciesz się dostępem do bazy merytorycznej wiedzy!



