Ponowne leczenie endodontyczne zęba trzonowego żuchwy – opis przypadku
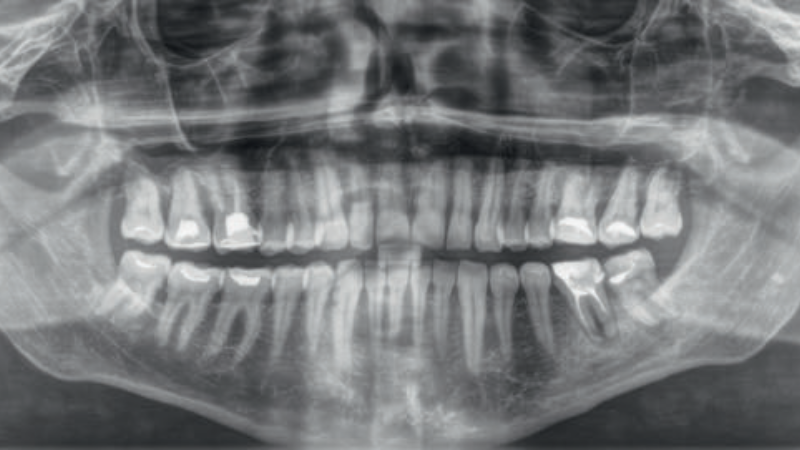
- Opis przypadku: utrata części wypełnienia korony zęba 36 oraz rozrzedzenie struktury tkanki kostnej okołowierzchołkowej w badaniu OPG.
- Opis ponownego leczenia kanałowego dolnego trzonowca.
- Aspekty niebiologiczne, mogące zdecydować o powodzeniu leczenia.

Title: Endodontic retreatment of a mandibular molar – a case report
Streszczenie: W prezentowanym przypadku ponownego leczenia kanałowego dolnego trzonowca zwrócono szczególną uwagę na aspekty niebiologiczne, które mogły zdecydować o powodzeniu leczenia.
Słowa kluczowe: ponowne leczenie endodontyczne, ząb trzonowy, powtórne leczenie kanałowe
SUMMARY: In the presented case of root canal retreatment of a lower molar, special attention was paid to non-biological aspects that could determine the success of the treatment.
Keywords: endodontic retreatment, molar, root canal retreatment
Najczęstszą przyczyną niepowodzeń pierwszorazowego leczenia endodontycznego jest przetrwała infekcja wewnątrzkanałowa. Zachowanie zasad ścisłej aseptyki, odpowiednie opracowanie chemomechaniczne, techniki dezynfekcji, wkładki lecznicze czy wreszcie poprawne wypełnienie systemu kanałowego i ubytku korony pozwalają na zwiększenie szans na sukces terapeutyczny (1). Jednakże istnieją czynniki niebakteryjne, które mogą mieć znaczenie dla zachowania zęba.
W prezentowanym przypadku ponownego leczenia kanałowego dolnego trzonowca zwrócono szczególną uwagę na aspekty niebiologiczne, które mogły zdecydować o powodzeniu leczenia.
[...]
którzy są subskrybentami naszego portalu.
i ciesz się dostępem do bazy merytorycznej wiedzy!



