Powikłania leczenia implantoprotetycznego – część I
- Powikłania związane z planowaniem leczenia implantologicznego.
- Powikłania związane z uwarunkowaniami anatomicznymi.

Title: Complications of the implant treatment – part I
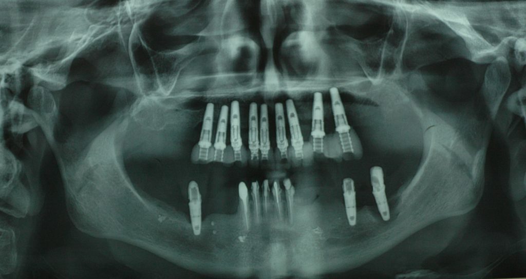
Streszczenie: W ostatnich latach w Polsce leczenie implantoprotetyczne staje się coraz bardziej powszechne. W związku z rosnącą częstością wykonywania zabiegów implantologicznych, które w części przypadków przeprowadzane są na granicy wskazań, wzrasta odsetek powikłań z tym związanych. Komplikacje powstające w trakcie terapii z użyciem implantów stomatologicznych mogą pojawić się na każdym z etapów leczenia, także w czasie, kiedy implant jest już obciążony pracą protetyczną. Problem powikłań będzie stawał się coraz częstszy, a kwestia ich leczenia będzie w przyszłości stanowiła znaczną część zagadnień związanych z implantologią.
Słowa kluczowe: implanty, powikłania, niepowodzenia implantologiczne
Summary: In recent years in Poland implantoprosthetic treatment has become increasingly popular. Due to the increasing frequency of implantation procedures, which in some cases are carried out at the limit of indications, the proportion of complications increases. Complications arising during dental implant therapy may occur at any stage of the treatment, including the time when the prosthetic restoration is already placed on the implant. The problem of complications will become more and more frequent, and the issue of their treatment will be a significant part of the problems associated with implantology in the future.
Keywords: dental implants, complications, implant failure
Protetyczne uzupełnienie braków zębowych można wykonać za pomocą ruchomych protez częściowych, protez stałych [...]
którzy są subskrybentami naszego portalu.
i ciesz się dostępem do bazy merytorycznej wiedzy!



