Przewlekłe zaostrzone ropne zapalenie żuchwy – opis przypadku
- Praca prezentuje przypadek pacjenta, który zgłosił się z obrzękiem oraz bólem umiejscowionym w okolicy bródki.
- W pierwszej części leczenia wykonano odbarczenie ropnia poprzez nacięcie zewnątrzustne oraz drenaż.
- W drugiej fazie zabiegu przeprowadzono zabieg usunięcia martwiczych tkanek oraz ziarniny zapalnej. Ostatecznie przeprowadzono atraumatyczną ekstrakcję zatrzymanego kła.

Title: Chronic purulent mandible inflammation – a case report
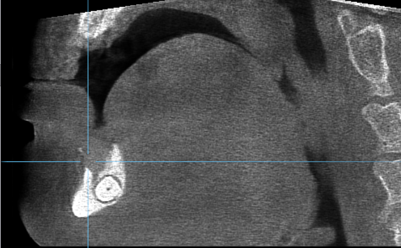
Streszczenie: Przewlekłe zapalenie kości jest schorzeniem sprawiającym wiele trudności zarówno w diagnostyce, jak i leczeniu. Co więcej, zapalenie kości jest uznawane za chorobę na całe życie ze względu na jej częste wznowy. Praca prezentuje przypadek pacjenta, który zgłosił się z obrzękiem oraz bólem umiejscowionym w okolicy bródki. Wykonana tomografia stożkowa wykazała obecność zmian osteolitycznych oraz zagęszczeń struktury kostnej w okolicy przedniej części żuchwy. Zmiany były połączone z kłem, który uległ transmigracji. W pierwszej części leczenia wykonano odbarczenie ropnia poprzez nacięcie zewnątrzustne oraz drenaż. W drugiej fazie zabiegu przeprowadzono zabieg usunięcia martwiczych tkanek oraz ziarniny zapalnej. Ostatecznie przeprowadzono atraumatyczną ekstrakcję zatrzymanego kła.
Słowa kluczowe: osteomyelitis, CBCT, sekwestrektomia
Summary: Chronic osteomyelitis is a disease difficult to diagnose and treat. Moreover, osteomyelitis is considered to be a disease of the whole life, due to its frequent recurrences. The paper presents a case of a patient with pain and swelling localized around the chin. The CT revealed the presence of osteolysis and places of increased [...]
którzy są subskrybentami naszego portalu.
i ciesz się dostępem do bazy merytorycznej wiedzy!



