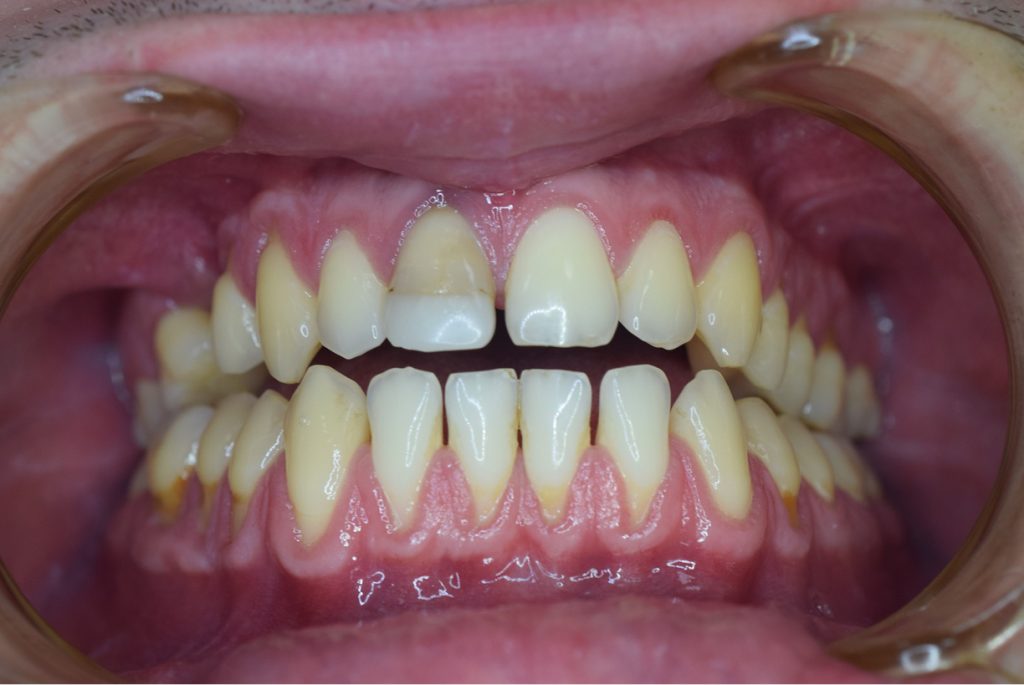
Ryzyko występowania i metody leczenia recesji dziąsłowych u pacjentów leczonych ortodontycznie
- Recesje dziąsłowe - przyczyny i czynniki ryzyka.
- Metody leczenia recesji dziąsłowych.

Streszczenie: Rosnąca świadomość medyczna i zwiększające się potrzeby estetyczne pacjentów przekładają się na wzrost zainteresowania leczeniem ortodontycznym. Ważnym problemem estetycznym u pacjentów ortodontycznych są recesje dziąsłowe, które mogą pojawić się w trakcie leczenia lub po zdjęciu aparatu ortodontycznego. Recesje dziąsłowe mają etiologię wieloczynnikową, a wpływ leczenia ortodontycznego na ich powstawanie jest przedmiotem dyskusji.
Celem pracy jest przedstawienie, na podstawie przeglądu piśmiennictwa, współczesnych poglądów na przyczyny i czynniki ryzyka występowania recesji dziąsłowych u pacjentów leczonych aparatami ortodontycznymi oraz możliwości leczenia tego powikłania.
W szczególnych warunkach anatomicznych oraz w leczeniu niektórych wad zgryzu istnieje większe ryzyko wystąpienia recesji dziąsłowych w trakcie leczenia i po leczeniu ortodontycznym.
Ryzyko wystąpienia recesji powinno być oszacowane przed leczeniem, a pacjent powinien zostać o nim poinformowany, jak również o możliwości i kosztach korekty defektów dziąseł.
Chirurgiczne metody leczenia recesji dają satysfakcjonujące rezultaty w przypadku recesji klas I i II Millera.
Słowa kluczowe: recesje dziąsłowe, przemieszczanie zębów, ortodoncja, periodontologia, gingiwoplastyka
Zwiększająca się świadomość i potrzeby estetyczne pacjentów wpływają na wzrost zainteresowania leczeniem ortodontycznym. Pacjenci zwracają uwagę nie tylko na ustawienie zębów, ale także na wygląd girlandy dziąsłowej. Znaczny wpływ na [...]




