Rehabilitacja protetyczna pacjenta ze znacznym starciem patologicznym zębów i z brakami uzębienia – opis przypadku
- W pracy podano definicje patologicznego starcia zębów.
- Podano cztery założenia, według których należy przeprowadzać proces terapeutyczny.
- Nakreślono sytuacje kliniczne, które wymagają postępowania dwuetapowego.

Title: Prosthodontic rehabilitation of a patient with advanced teeth attrition and incomplete dentition – a case report
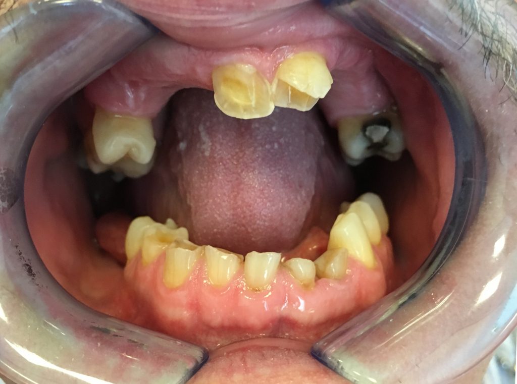
Streszczenie: W pracy podano definicje patologicznego starcia zębów. Na podstawie wybranego piśmiennictwa podano aktualne poglądy na temat: zasad terapii, monitorowania, profilaktyki i opieki następczej nad zrehabilitowanym pacjentem. Podano cztery założenia, według których należy przeprowadzać proces terapeutyczny. Nakreślono sytuacje kliniczne, które wymagają postępowania dwuetapowego. W opisywanym przypadku klinicznym przedstawiono kompleksowe leczenie zaawansowanej atrycji połączonej z niepełnym uzębieniem. Proces leczenia przebiegał dwuetapowo. W pierwszej fazie wykorzystano zgryz konstrukcyjny i diagnostyczne nawoskowanie zębów w celu zapewnienia estetyki. W finalnej fazie odtworzono uzębienie w sposób stały z wykorzystaniem materiałów kompozytowych i koron protetycznych opartych na wkładach koronowo-korzeniowych i protez szkieletowych.
Słowa kluczowe: starcie patologiczne, planowanie leczenia, atrycja, rehabilitacja protetyczna
Summary: In the paper, pathological tooth wear is defined. Based on the selected literature, current views on the principles of therapy, monitoring, prevention and aftercare of a rehabilitated patient are presented. Four assumptions have been made according to which the therapeutic process should be carried [...]
którzy są subskrybentami naszego portalu.
i ciesz się dostępem do bazy merytorycznej wiedzy!



