Rewaskularyzacja miazgi niedojrzałych zębów stałych z martwiczą miazgą i ze zmianami okołowierzchołkowymi – przypadki kliniczne
- Na czym polega leczenie niedojrzałych zębów stałych z martwicą miazgi?
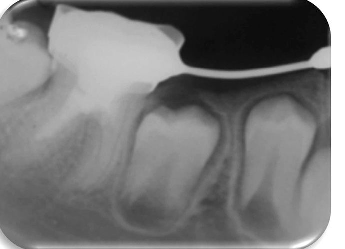
- Opisy przypadków. Pięć zdiagnozowanych klinicznie i radiologicznie niedojrzałych zębów stałych z martwicą miazgi leczono metodą rewaskularyzacji.

Title: Revascularization in immature permanent teeth with necrotic pulp and apical pathology – a case series
Słowa kluczowe: rewaskularyzacja miazgi, martwica miazgi, niedojrzały ząb
Keywords: revascularization, necrotic pulp, immature permanent teeth
Streszczenie: Wprowadzenie. Przedstawiono i omówiono wyniki leczenia pięciu przypadków klinicznych metodą rewaskularyzacji miazgi, z monitorowaniem klinicznym i radiologicznym. Niedojrzałe zęby stałe z martwicą miazgi i ze zmianami okołowierzchołkowymi stanowią wyzwanie dla stomatologów, ponieważ po zastosowaniu apeksyfikacji ząb staje się podatny na złamania, jako że jego korzeń nie ulega dalszemu wzrostowi, a ściany kanału korzeniowego są cienkie. Rewaskularyzacja stała się alternatywą do zlikwidowania tych niedogodności, umożliwiając zamknięcie wierzchołka, dalszy rozwój korzenia i pogrubienie zębiny ścian kanału korzeniowego. Opisy przypadków. Pięć zdiagnozowanych klinicznie i radiologicznie niedojrzałych zębów stałych z martwicą miazgi leczono metodą rewaskularyzacji. Protokół terapeutyczny obejmował: dostęp do komory miazgi, obfite przepłukanie NaOCl, założenie pasty trójantybiotykowej jako opatrunku wewnątrzkanałowego i tymczasowe zamknięcie ubytku. Wniosek. Omówienie wyników leczenia stanowi materiał do dyskusji na temat różnych materiałów do odbudowy zęba i innych opublikowanych protokołów leczenia.
Summary: Introduction. To present and discuss the results of five clinical cases treated using the revascularization protocol, showing clinical and radiographic [...]
którzy są subskrybentami naszego portalu.
i ciesz się dostępem do bazy merytorycznej wiedzy!



