Zastosowanie elementów precyzyjnych w leczeniu protetycznym – opis przypadku
- Jaka jest alternatywa dla konwencjonalnych protez ruchomych?
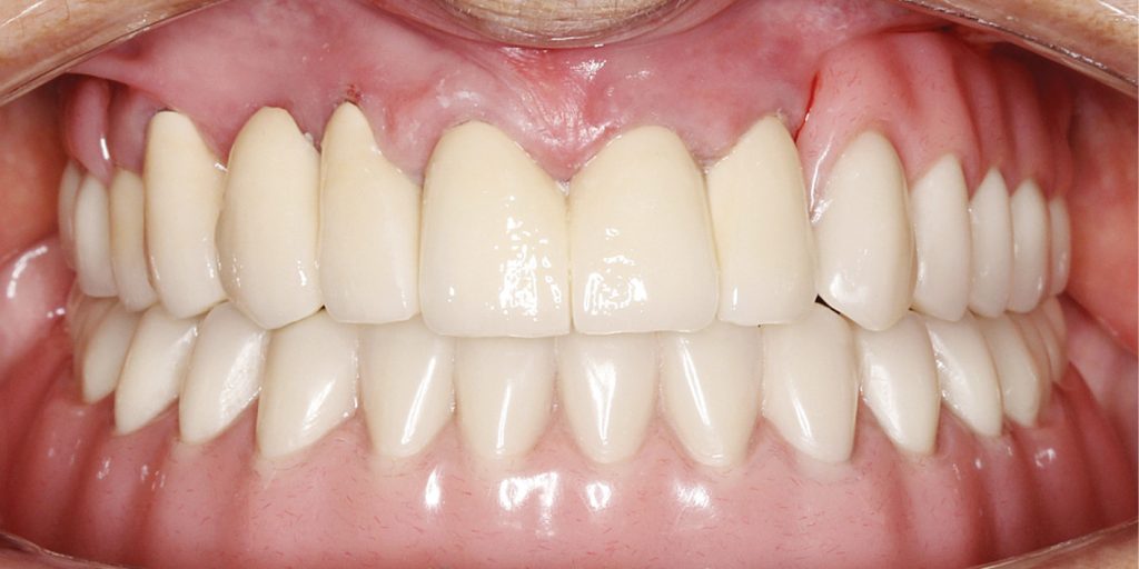
- W artykule przedstawiono przypadek kompleksowego leczenia z zastosowaniem w łuku górnym mostów i koron zblokowanych z zaczepami precyzyjnymi oraz protezy szkieletowej bezklamrowej.

Title: Use of precision attachments in prosthodontic treatment – a case report
Streszczenie: Współczesna protetyka daje wiele możliwości rehabilitacji jamy ustnej pacjenta. Rozległe braki zębowe czy całkowita utrata uzębienia w łuku zawsze stanowiły wyzwanie dla skutecznej, funkcjonalnej i estetycznej odbudowy. Alternatywą dla konwencjonalnych protez ruchomych jest leczenie implantologiczne, które wraz z zastosowaniem precyzyjnych elementów retencyjnych pozwala na uzyskanie bardzo dobrych rezultatów czynnościowych i estetycznych, przy często trudnych do leczenia warunkach w jamie ustnej. Coraz częściej również pacjenci decydują się na skomplikowane i czasochłonne procedury zabiegowe w celu uzyskania satysfakcjonującego efektu.
Słowa kluczowe: elementy precyzyjne, implanty, proteza overdenture
Summary: Modern prosthodontics offers a lot of possibilities of the oral rehabilitation of a patient. It has always been a challenge to effectively, functionally and aesthetically restore dentition in the case of extensive missing teeth or edentulism. Implant treatment with precision attachments is an alternative to conventional dentures and enables achieving very good functional and aesthetic results, often in difficult oral conditions. Patients increasingly opt for advanced and time-consuming treatment procedures in order [...]
którzy są subskrybentami naszego portalu.
i ciesz się dostępem do bazy merytorycznej wiedzy!



