Zastosowanie Mineral Trioxide Aggregate w procedurze apeksyfikacji u pacjenta w wieku rozwojowym – opis przypadku
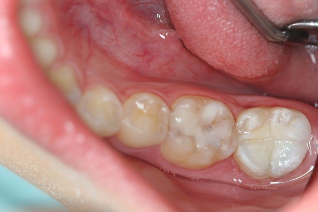
- 15-letni pacjent zgłosił się do gabinetu w celu kontynuacji leczenia zęba 47. Z wywiadu wynikało, że pacjent przed dwoma tygodniami zgłosił się z bólem zęba 47 do swojej przychodni stomatologicznej.
- Zastosowanie materiału Mineral Trioxide Aggregate w procedurze apeksyfikacji.

Title: The use of Mineral Trioxide Aggregate in the apexification procedure in a patient at the developmental age – a case description
Streszczenie: W przypadku zębów stałych niedojrzałych, zgodnie z wytycznymi American Academy of Pediatric Dentistry (AAPD), możemy zastosować metodę prowadzącą do apeksogenezy, apeksyfikacji lub metodę rewaskularyzacji. Najbardziej korzystna jest metoda, która prowadzi do zachowania zęba z żywą miazgą. W pracy przedstawiono procedurę apeksyfikacji z zastosowaniem materiału Mineral Trioxide Aggregate (MTA) w zębie trzonowym 47 u pacjenta w wieku rozwojowym. Apeksyfikacja to proces stymulowanego formowania wierzchołka korzenia za pomocą preparatów o działaniu odontotropowym pod nieobecność żywej miazgi w kanale.
Słowa kluczowe: zęby stałe niedojrzałe, szeroki otwór wierzchołkowy, apeksyfikacja, MTA, „zatyczka” wierzchołkowa
Summary: In the case of immature permanent teeth, according to the guidelines of the American Academy of Pediatric Dentistry (AAPD), we can use a method that leads to apexogenesis, apexification or a revascularization method. The most preferred is a method which results in the retention of a tooth with the vital pulp. The paper presents the procedure of apexification using the Mineral Trioxide Aggregate (MTA) material in a molar 47 in a patient at the developmental age. Apexification [...]
którzy są subskrybentami naszego portalu.
i ciesz się dostępem do bazy merytorycznej wiedzy!



