Złamana śruba w implancie nierozpoznany system? – rozwiązaniem Ot Bridge Rhein’83
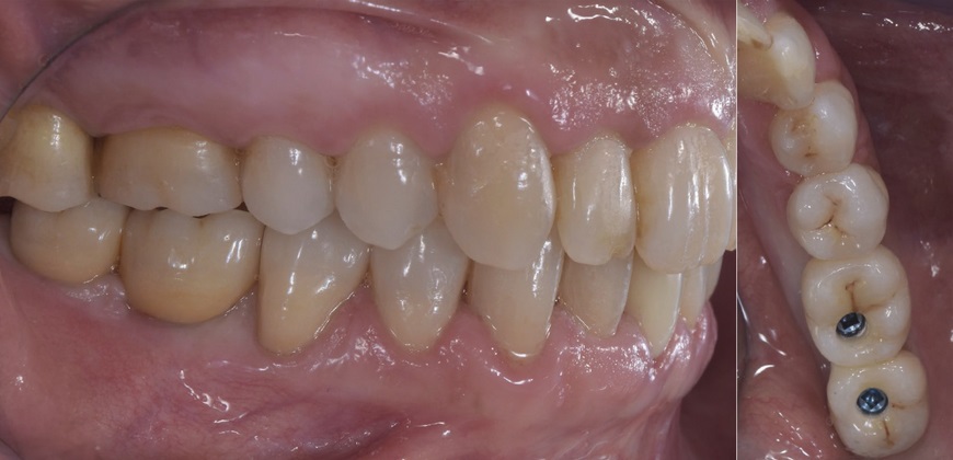
- Pacjentka R.C., lat 50, zgłosiła się do naszego gabinetu z prośbą o możliwość ponownego przykręcenia dwóch koron na implantach wprowadzonych w pozycjach 46 i 47, które według niej się odkręciły.
- Jak w prawidłowy sposób przeprowadzić badanie?

TITLE: Broken screw in an implant. Ot Bridge Rhein’83 as a solution for the unknown implant system
STRESZCZENIE: Opis postępowania w przypadku wymiany uzupełnienia protetycznego osadzonego na implantach bez wiedzy o użytym systemie implantologicznym.
SŁOWA KLUCZOWE: implanty, protezy całkowite, protezy ruchome
SUMMARY: Description of a procedure in the case of replacement of a prosthodontic restoration placed on implants not knowing the implant system used.
KEYWORDS: implants, complete dentures, removable dentures
Coraz częstszą sytuacją jest potrzeba rehabilitacji protetycznej na implantach, których specyfiki nie znamy. Włoski producent rozwiązań retencyjnych Rhein’83 (Bolonia, Włochy) od wielu lat produkuje elementy, które są dostosowane swoimi połączeniami do implantów, na które są przykręcane, aby zagwarantować patryce retencyjne dla protez ruchomych u pacjentów, którzy nie mogą przedstawić dokumentacji pozwalającej zidentyfikować model i średnicę wprowadzonych w podłoże protetyczne implantów zębowych.
Tą samą metodą można dzisiaj realizować prace protetyczne przy użyciu łączników OT Equator (do rozwiązań ruchomych lub stałych), w ramach [...]
którzy są subskrybentami naszego portalu.
i ciesz się dostępem do bazy merytorycznej wiedzy!



