Augmentacja tkanek miękkich wokół implantu z wykorzystaniem techniki dowierzchołkowo przesuniętego płata – opis przypadku
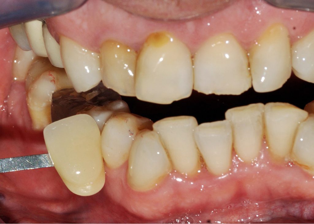
- Dowierzchołkowe przesunięcie płata.
- Poszerzenie strefy dziąsła zrogowaciałego z wykorzystaniem APF.

TITLE: Peri-implant soft tissue augmentation with the apically positioned flap technique – a case report
STESZCZENIE: Uzupełnianie braków zębowych za pomocą implantów stomatologicznych jest obecnie często wykonywaną procedurą chirurgiczną mającą na celu zrekonstruowanie prawidłowych warunków okluzyjnych. Ilościowe i jakościowe ubytki tkanek okołowszczepowych stanowią potencjalne zagrożenie dla krótko- oraz długoterminowych wyników leczenia implantoprotetycznego. Dzięki dynamicznemu rozwojowi periodontologii powstało wiele technik zabiegowych, które umożliwiają poprawę warunków dziąsłowych wokół implantów. Jedną z metod jest dowierzchołkowe przesunięcie płata, pozwalające na zwiększenie zasięgu strefy dziąsła zrogowaciałego.
SŁOWA KLUCZOWE: dowierzchołkowe przesunięcie płata, dziąsło zrogowaciałe, leczenie implantologiczne
SUMMARY: Replacing missing teeth with dental implants is now a frequently performed surgical procedure aimed at reconstructing the correct occlusive conditions. The quantitative and qualitative loss of peri-implant tissues poses a potential threat to the short- and long-term results of implantoprosthetic treatment. Due to the dynamic development of periodontology, many treatment techniques have been developed that enable the improvement of gingival conditions around implants. One of the methods is the apically positioned flap, which enables increasing the keratinized gingival zone.
KEYWORDS: apically positioned flap, keratinized gingiva, implant treatment
Implanty stomatologiczne są jedną z [...]
którzy są subskrybentami naszego portalu.
i ciesz się dostępem do bazy merytorycznej wiedzy!



