Augmentacja tkanki miękkiej z wykorzystaniem kolagenowej matrycy Fibro-Gide® przed leczeniem ortodontycznym – opis przypadków
- Jakie znaczenie ma ocena fenotypu dziąseł przed rozpoczęciem leczenia ortodontycznego?
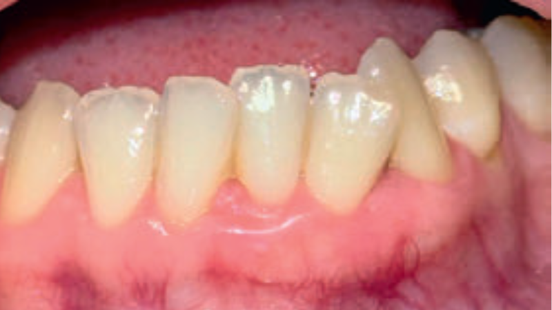
- Celem badania była ocena kliniczna skuteczności pogrubienia tkanki dziąsłowej z wykorzystaniem biomateriału (FG) przed leczeniem ortodontycznym w obserwacji trzy- i sześciomiesięcznej.
- Zabieg periodontologiczny.

Title: Soft tissue augmentation using the Fibro-Gide® collagen matrix before orthodontic treatment – a case series
Streszczenie: Znaczenie oceny fenotypu dziąseł przed rozpoczęciem leczenia ortodontycznego zostało w literaturze wyraźnie wykazane. Celem tego badania była ocena skuteczności klinicznej w zwiększeniu objętości tkanki dziąsłowej po wykorzystaniu biomateriału (FG) przed leczeniem ortodontycznym w obserwacji krótkoczasowej. Materiał i metody: U pięciu pacjentek wykonano zabieg augmentacji dziąsła w obrębie przedniego obszaru w żuchwie z wykorzystaniem ksenogenicznej matrycy kolagenowej. Badanie grubości dziąsła (GT) wykonano za pomocą urządzenia ultrasonograficznego PIROP w dwóch punktach pomiarowych (GT1, GT2) przed zabiegiem oraz po trzech i sześciu miesiącach od zabiegu. Wyniki: U wszystkich pacjentek uzyskano poprawę grubości dziąsła o znaczeniu statystycznym w operowanych okolicach po trzech i sześciu miesiącach w stosunku do wartości początkowych. Nie stwierdzono różnicy statystycznej pomiędzy okresem trzech i sześciu miesięcy. Wnioski: Zabieg z wykorzystaniem matrycy kolagenowej może być z sukcesem stosowany u pacjentów wymagających zwiększenia objętości tkanki dziąsłowej nie tylko ze względu na pozytywne efekty procedur zabiegowych, [...]
którzy są subskrybentami naszego portalu.
i ciesz się dostępem do bazy merytorycznej wiedzy!



