Dwuetapowa rekonstrukcja utraconych zębów i tkanek zębów w szczęce i żuchwie – opis przypadku
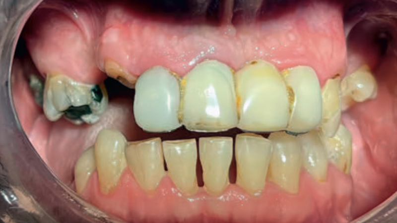
- Pacjent zgłosił się do Poradni Protetyki Stomatologicznej celem wymiany nieszczelnego mostu metalowo-akrylowego w odcinku przednim szczęki. Zależało mu również na poprawie estetyki i uzupełnieniu braków międzyzębowych.

Title: Two-stage reconstruction of missing teeth and dental tissues in the maxilla and jaw– a case report
Streszczenie: W artykule opisano przypadek dwuetapowego leczenia protetycznego z wykorzystaniem natychmiastowej protezy tymczasowej. Docelowo tkanki zębów oraz zęby w szczęce i żuchwie zostały odbudowane z wykorzystaniem uzupełnień stałych i protez szkieletowych. Przeprowadzone leczenie pozwoliło na stopniową adaptację do nowych warunków i utrzymanie właściwych relacji pomiędzy mięśniami żucia, językiem i stawami skroniowo-żuchwowymi przed oddaniem pracy ostatecznej, co miało pozytywny wpływ na przewidywalność terapii.
Słowa kluczowe: leczenie dwuetapowe, proteza natychmiastowa, most metalowo porcelanowy, proteza szkieletowa
Summary: The article describes a case of a two-stage prosthetic treatment using an immediate temporary denture. Ultimately, maxillary and mandibular tooth tissue as well as missing teeth were reconstructed using permanent restorations and skeletal dentures. Performed treatment allowed for gradual adaptation to the new conditions and maintenance of proper relationships between the masticatory muscles, tongue and temporomandibular joints, before the final restoration was placed, which positively impacted the predictability of the treatment.
Keywords: two-stage treatment, immediate denture, metal-porcelain [...]
którzy są subskrybentami naszego portalu.
i ciesz się dostępem do bazy merytorycznej wiedzy!



