Dystalizacja zębów z wykorzystaniem miniimplantów – opis przypadku
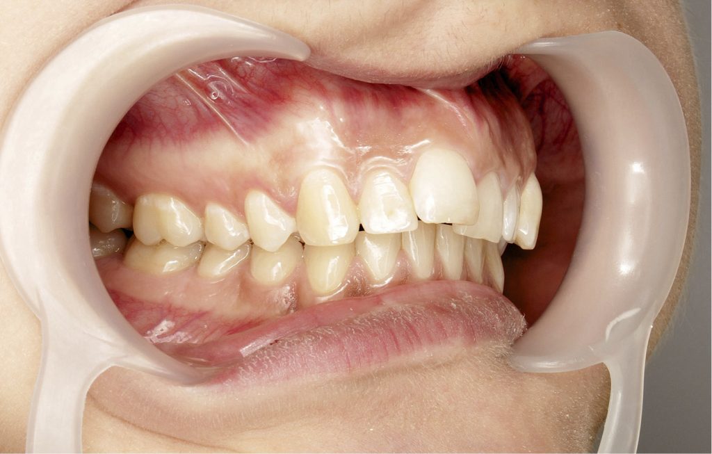
- Celem pracy była prezentacja dynamiki bezekstrakcyjnego leczenia dorosłej pacjentki z wadą klasy II grupy 1, z wykorzystaniem zakotwienia kortykalnego.

Title: Dystalisation of teeth using miniimplants – a case report
Streszczenie: Tyłozgryz jest najczęściej występującą wadą zgryzu wśród pacjentów leczących się ortodontycznie w populacji polskiej. Wpływa ona na pogorszenie profilu twarzy wynikające z dotylnej pozycji żuchwy, dolnego łuku zębowego lub kombinacji obu. Leczenie wady opiera się na analizie wielu czynników, takich jak: wiek pacjenta, nasilenie wady, typ wzrostu, typ profilu, dyskrepancja zębowo-wyrostkowa, motywacja pacjenta oraz umiejętności lekarza. Wady dystalne u pacjentów rosnących mogą być leczone przez modyfikację wzrostu przy użyciu aparatów czynnościowych. Natomiast u pacjentów dorosłych leczenie często wiąże się z ekstrakcjami pierwszych zębów przedtrzonowych w szczęce, retrakcją kłów do I klasy oraz zębów siecznych w miejsce poekstrakcyjne kamuflujące wadę. Przy skrajnych przypadkach proponowana jest także operacyjna korekta wady. Te metody postępowania wiążą się z wydłużeniem czasu terapii. Proponowanie takich rozwiązań może spowodować, że pacjent nie zaakceptuje planu leczenia. Należy wtedy zaproponować alternatywne leczenie, polegające na dystalizacji całego górnego łuku zębowego. Celem pracy jest przedstawienie dynamiki zmian u dorosłej pacjentki ze zdiagnozowaną wadą klasy II grupy 1 (protruzją zębów siecznych), leczoną aparatem stałym, bez ekstrakcji, wykorzystując miniimplanty ortodontyczne w celu dystrakcji łuku zębowego szczęki.
Słowa kluczowe: wady klasy II, leczenie ortodontyczne, miniimplanty, zakotwienie kortykalne
Summary: Class II defects (distooclusions) are the most common malocclusion in patients treated ortodontically in the Polish population. The [...]
którzy są subskrybentami naszego portalu.
i ciesz się dostępem do bazy merytorycznej wiedzy!



