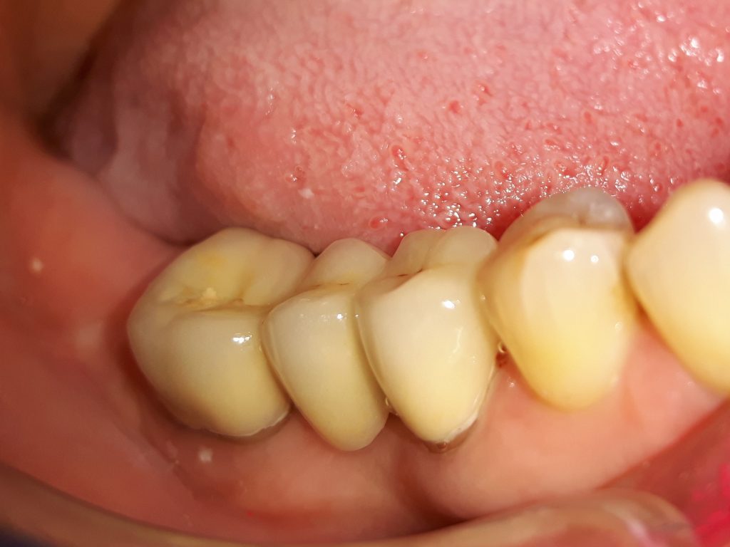
Hemisekcja z następczą odbudową protetyczną braku jakościowego zęba 46 mostem dwubrzeżnym
- Hemisekcja wskazania: periodontologiczne, endodontyczne.
- Opis niniejszego przypadku dowodzi, że przy zastosowaniu się do wskazań klinicznych rozwiązanie takie jak hemisekcja może zapewnić pacjentowi zachowanie pełnego łuku zębowego.

Title: Hemisection and restoration of the missing part of tooth 46 with a conventional bridge work
Streszczenie: W dobie prężnie rozwijającej się stomatologii odtwórczej, w szczególności implantologii, konwencjonalne leczenie chirurgiczne z zachowaniem zdrowych tkanek zęba coraz częściej bywa pomijane, wręcz zaniechane przy planowaniu leczenia. Lekarze nie decydują się sięgać po zabiegi resekcyjne ze względu na ich niepewne rokowania. Opis niniejszego przypadku dowodzi, że przy zastosowaniu się do wskazań klinicznych rozwiązanie takie jak hemisekcja może zapewnić pacjentowi zachowanie pełnego łuku zębowego. Szczególnie znajduje to zastosowanie w przypadku, gdy implantacja szczepów śródkostnych jest niewskazana z przyczyn ogólnoustrojowych i anatomicznych lub niemożliwa ze względów ekonomicznych.
Słowa kluczowe: hemisekcja, premolaryzacja, most dwubrzeżny
Summary: Nowadays, when restorative dentistry, mainly implantology, is developing very rapidly, conventional surgical treatment that involve the preservation of remaining healthy tissues is very often omitted, or even neglected, during the treatment planning. Dentists would rather avoid performing resective techniques due to their uncertain prognosis. The following case proves that if clinical indications are followed, such a treatment as hemisection might allow patients to preserve [...]



