Korekta zgryzu głębokiego przy pomocy zmodyfikowanego aparatu Nance’a u dorosłego pacjenta z klasą II/2 i dehiscencją wyrostka zębodołowego
- W niniejszej pracy opisujemy leczenie dorosłego pacjenta, u którego rozpoznano klasę II/2 ze zmniejszeniem zębów siecznych bocznych i dehiscencją w obrębie powierzchni twarzowej wyrostka zębodołowego nad korzeniem przechylonego siekacza górnego, z zastosowaniem zmodyfikowanego aparatu Nance’a (MNA).

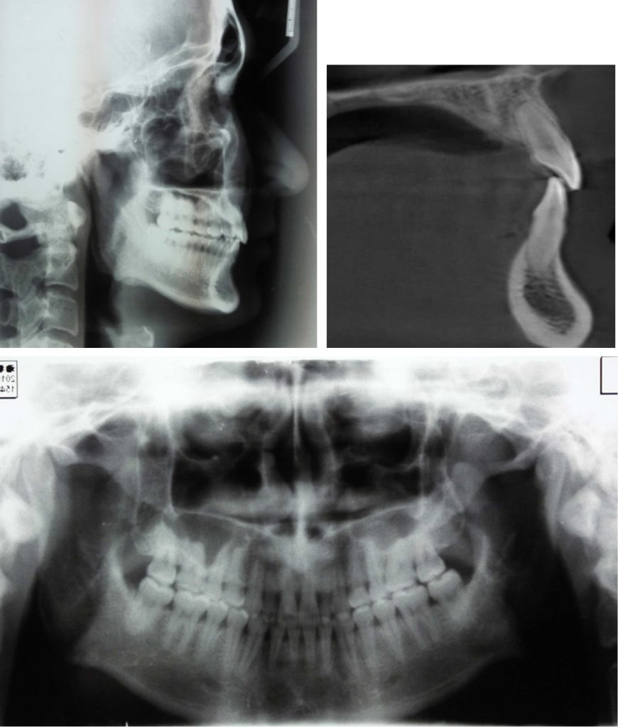
Streszczenie: W pracy opisano zmodyfikowany aparat Nance’a (modified Nance appliance, MNA) jako opcję leczenia dorosłego pacjenta z klasą II podtypu 2 (CII/2), ze zgryzem głębokim, z dojęzykowym nachyleniem górnych siekaczy i dehiscencją powierzchni twarzowej wyrostka zębodołowego nad korzeniem jednego z nich, zidentyfikowaną za pomocą tomografii stożkowej (CBCT). Przedstawiono wskazania do zastosowania MNA, a także krótki opis konstrukcji aparatu oraz biomechaniczną analizę efektów leczenia. Osiągnięto pełną intruzję i uzyskano kontrolę korzeni bez powiększenia ubytku kostnego. Wyniki leczenia były satysfakcjonujące.
Słowa kluczowe: zmodyfikowany aparat Nance’a, wada zgryzu klasy II
Leczenie ubytków kostnych wyrostka zębodołowego, tj. dehiscencji i fenestracji, u pacjentów ortodontycznych pozostaje trudnym zadaniem. Dehiscencja objawia się brakiem fragmentu blaszki policzkowej lub językowej wyrostka zębodołowego, z tendencją do odsłonięcia powierzchni korzenia i zajmowania brzeżnego odcinka kości [1]. Dehiscencję stwierdza się często przed leczeniem ortodontycznym w okolicy spojenia żuchwy, szczególnie u pacjentów dorosłych [2]. Aby uniknąć dodatkowego ryzyka, przed rozpoczęciem leczenia ortodontycznego należy ocenić anatomię wyrostka zębodołowego. Idealną opcją obrazowania w takiej sytuacji klinicznej jest obecnie [...]
którzy są subskrybentami naszego portalu.
i ciesz się dostępem do bazy merytorycznej wiedzy!



