Leczenie kanałowe u pacjentów chorych na cukrzycę – opis przypadku
- Jak cukrzyca wpływa na stan zdrowia jamy ustnej?
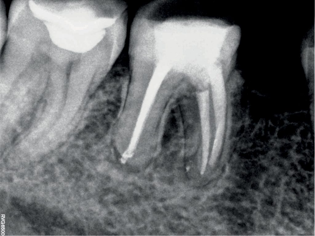
- Jak wygląda leczenie kanałowe pacjenta chorego na cukrzycę?

Title: Root canal treatment of patients with diabetes – case report
Słowa kluczowe: przewlekłe zapalenie tkanek okołowierzchołkowych, cukrzyca, układ immunologiczny, monitorowanie
Keywords: chronic inflammation of periapical tissues, diabetes, immune function, monitoring
Streszczenie: Ze względu na dużą częstość występowania cukrzycy prawdopodobieństwo leczenia kanałowego u pacjentów cierpiących na tę jednostkę chorobową jest znaczne. Cukrzyca jest chorobą przebiegającą skrycie, gdyż alarmujące objawy pojawiają się stosunkowo późno. Często stomatolog jest pierwszą osobą, która dostrzeże objawy świadczące o cukrzycy.
Monitorowanie wyników leczenia przewlekłych zmian okołowierzchołkowych u pacjentów chorych na cukrzycę różni się od klasycznego schematu.
Należy pamiętać, że w wywiadzie przeprowadzanym przed rozpoczęciem leczenia należy uzyskać informacje dotyczące chorób ogólnych, na które cierpi pacjent, w tym również cukrzycy. Informacje te mają duże znaczenie w zaplanowaniu właściwego leczenia, określeniu odpowiedniego czasu obserwacji oraz prawidłowej interpretacji wyników terapii. Pomyślność leczenia zmian okołowierzchołkowych zależy od początkowej ich wielkości i, co bardzo ważne, od ogólnego stanu zdrowia oraz funkcji układu immunologicznego.
Summary: Due to the high incidence of diabetes, the likelihood of root canal treatment in patients suffering from this disease entity is considerable. Diabetes is a disease that is secretly, as [...]
którzy są subskrybentami naszego portalu.
i ciesz się dostępem do bazy merytorycznej wiedzy!



