Leczenie przewlekłych zapaleń tkanek okołowierzchołkowych z zastosowaniem preparatu wodorotlenkowo-wapniowego
- Metody leczenia chorób tkanek okołowierzchołkowych.
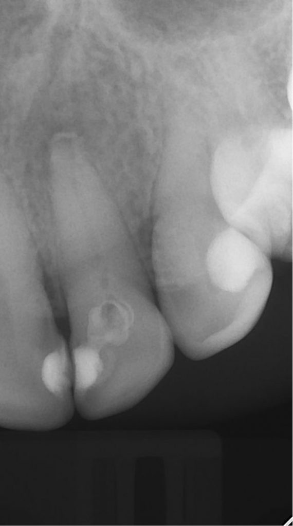
- W pracy przedstawiono dwa przypadki kliniczne przewlekłych zapaleń tkanek okołowierzchołkowych o charakterze ziarniniaków.

Title: The treatment of chronic inflammation of periapical tissues with the use of a calcium hydroxide preparation
Słowa kluczowe: ziarniniak okołowierzchołkowy, przewlekłe zapalenie tkanek okołowierzchołkowych, dwuseansowe leczenie endodontyczne
Keywords: periapical granuloma, chronic periapical inflammation, two-session endodontic treatment
Streszczenie: W pracy przedstawiono dwa przypadki kliniczne przewlekłych zapaleń tkanek okołowierzchołkowych o charakterze ziarniniaków. Po zastosowaniu dokanałowo opatrunków czasowych w postaci preparatów wodorotlenkowo-wapniowych, które wykazują działanie przeciwbakteryjne, osteo- i odontotropowe, doszło do wygojenia struktur przyzębia okołowierzchołkowego. Warunkiem powodzenia tego dwuseansowego leczenia było szczelne zamknięcie ubytku między wizytami, które zapobiegło reinfekcji systemu kanałowego.
Summary: The paper presents two clinical cases of chronic periapical granuloma inflammation. After the use of temporary fillings in the form of calcium hydroxide material, which has antibacterial, osteotropic and odontotropic effects, the periapical periodontal structure was healed. The condition to ensure the success of this two-session treatment was the tight closure of the cavity between visits, which prevented the re-infection of the root canal system.
Choroby tkanek okołowierzchołkowych powstają najczęściej w wyniku zakażenia bakteryjnego miazgi znajdującej się w stanie rozpadu zgorzelinowego. Flora bakteryjna pochodząca z [...]
którzy są subskrybentami naszego portalu.
i ciesz się dostępem do bazy merytorycznej wiedzy!




