Leukoplakia jamy ustnej w obrębie zmian przerostowych
- Czy jest leukoplakia jamy ustnej i czym się objawia?
- Jak zaopiekować się pacjentem z tą przypadłością?
- Jak wygląda przebieg leczenia?

TITLE: Oral leukoplakia within hypertrophic lesions
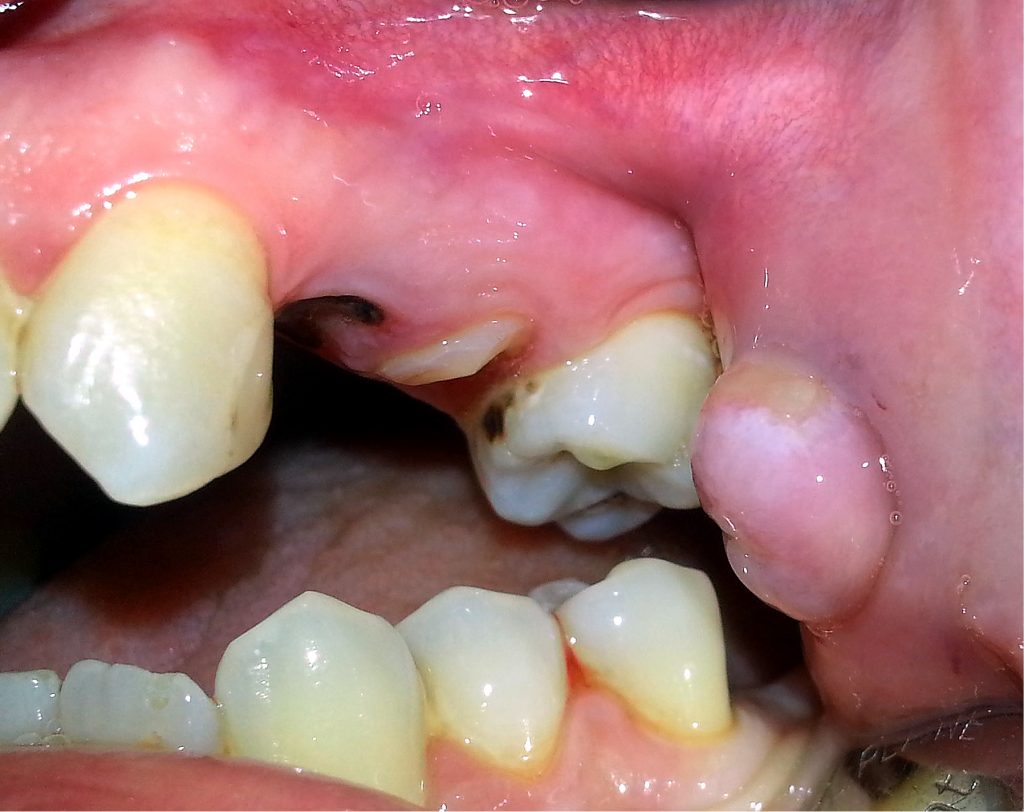
STRESZCZENIE: Leukoplakia jest najczęstszą przewlekłą chorobą błony śluzowej jamy ustnej. Oprócz typowego obrazu leukoplakii możemy spotkać sytuacje, w których rogowacenie białe nakłada się na zmiany o innym charakterze. Celem pracy była prezentacja dwóch takich przypadków klinicznych. Pierwszym z nich była pacjentka ze zmianą o charakterze włókniaka na błonie śluzowej policzka, a drugim był pacjent przyjmujący przewlekle amlodypinę, u którego rozpoznano początkowo przerost polekowy dziąseł. W obydwu sytuacjach pozabiegowe badanie histopatologiczne zmian wykazało obecność leukoplakii błony śluzowej.
SŁOWA KLUCZOWE: leukoplakia jamy ustnej, włókniak, przerost polekowy dziąseł, gingiwektomia
SUMMARY: Leukoplakia is the most common chronic disease of the oral mucosa. Except for a typical appearance of leukoplakia, there are situations when leukoplakia superposes on different lesions. The aim of the paper is to present two similar clinical cases. The first case was a woman with a fibroma lesion on the buccal mucosa. The second case was a man regularly taking amlodipine, who was initially diagnosed with drug-induced gingival enlargement. The histopathological examination in both cases demonstrated the presence of [...]
którzy są subskrybentami naszego portalu.
i ciesz się dostępem do bazy merytorycznej wiedzy!



