Odbudowa kompozytowa zębów stożkowych u dziecka z hipodoncją – opis przypadku
- Jakie są wady wrodzone uzębienia?
- Czym się charakteryzują?
- Znaczenie opieki interdyscyplinarnej i rola pedodonty w leczeniu.

TITLE: Composite reconstruction of conical teeth in a child with hypodontia – a case report
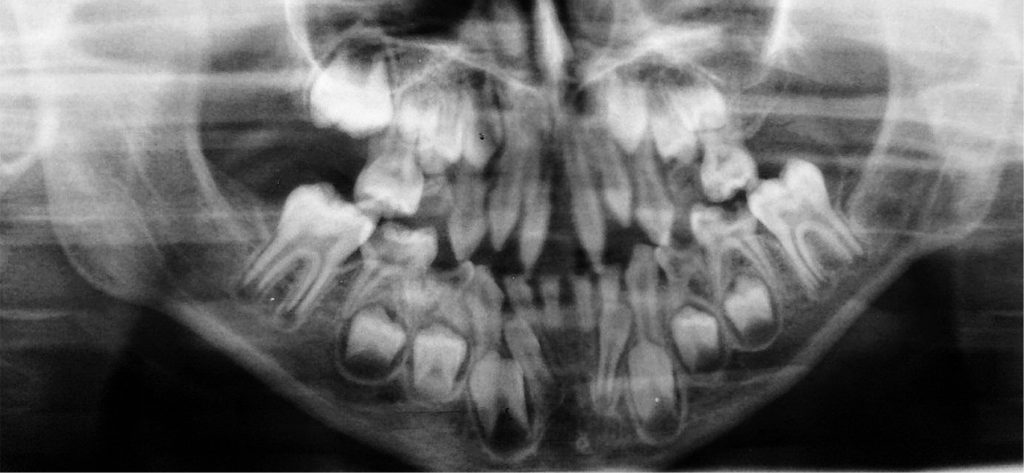
Streszczenie: Częstą wadą współistniejącą z oligodoncją jest występowanie zębów stożkowych, zwanych zębami w kształcie kołka (ang. peg-shaped). Celem pracy było przedstawienie leczenia pedodontycznego – odbudowy kompozytowej zębów stożkowych u siedmioletniego chłopca z hipodoncją. Opisany przypadek wskazuje na istotne znaczenie opieki interdyscyplinarnej oraz ważną rolę pedodonty w planowaniu długoterminowej opieki stomatologicznej nad pacjentem z nieprawidłowościami zębowymi.
Słowa kluczowe: wady wrodzone uzębienia, hipodoncja, mikrodoncja, zęby stożkowe, leczenie wielospecjalistyczne
Summary: Oligodontia is often accompanied by a common defect: the presence of teeth in the shape of a cone, the so-called peg-shaped teeth.
The aim of the paper is to present a case of paedodontic treatment: a composite reconstruction of peg-shaped teeth in a seven-year-old boy with hypodontia. The described case demonstrates the importance of interdisciplinary care and the essential role of a paediatric dentist in the planning of a long-term dental care of a patient with teeth anomalies.
Keywords: congenital dental defects, hypodontia, microdontia, peg-shaped teeth, multidisciplinary treatment
Hipodoncja [...]
którzy są subskrybentami naszego portalu.
i ciesz się dostępem do bazy merytorycznej wiedzy!




