Pacjent z zespołem Eagle’a w codziennej praktyce stomatologicznej Charakterystyka zespołu oraz opis przypadku klinicznego
- Jakie są objawy zespołu Eagle’a?
- Różnicowanie zespołu Eagle’a.
- Jak wygląda leczenie? Opis przypadku.

TITLE: A patient with Eagle syndrome in everyday dental practice. Characteristics of the syndrome and a clinical case report
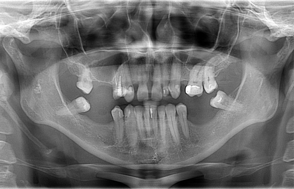
STRESZCZENIE: Z zespołem Eagle’a możemy się spotkać w codziennej praktyce stomatologicznej. Przy wykonywaniu zdjęć pantomograficznych powinniśmy zwracać uwagę na długość wyrostków rylcowatych badanego pacjenta. Jeżeli długość któregoś z wyrostków jest większa niż 30 mm i dodatkowo występują silne, często nietypowe, jednostronne dolegliwości bólowe, to powinniśmy skierować pacjenta na konsultację laryngologiczną, by potwierdzić lub wykluczyć zespół Eagle’a.
SŁOWA KLUCZOWE: zespół Eagle’a, definicja, postępowanie
SUMMARY: We can come across a patient with Eagle syndrome in everyday dental practice. When taking a pantomographic x-ray image, we should always pay attention to the length of the patient’s styloid processes. If the length of any of the processes is greater than 30 mm and additionally the patient suffers from severe, often unusual, unilateral pain, then our concern should be increased. In this case, an ENT consultation may be necessary in order to confirm or rule out Eagle syndrome.
KEYWORDS: Eagle syndrome, definition, procedure
Zespół Eagle’a, czyli zespół [...]
którzy są subskrybentami naszego portalu.
i ciesz się dostępem do bazy merytorycznej wiedzy!



