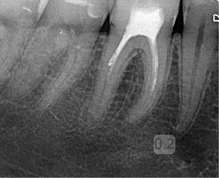
Powtórne leczenie endodontyczne zęba 46 – przypadek kliniczny
- Jakie są powody niepowodzenia leczenia kanałowego?
- Jakie są przeciwwskazania do ponownego leczenia endodontycznego?
- Jakie są wskazania do ponownego leczenia endodontycznego?

TITLE: Root canal retreatment of tooth 46 – a clinical case
STRESZCZENIE: W artykule omówiono wskazania i przeciwwskazania do powtórnego leczenia kanałowego. Przedstawiono przypadek kliniczny powtórnego leczenia endodontycznego.
SŁOWA KLUCZOWE: leczenie kanałowe, endodoncja
SUMMARY: The article discusses indications and contraindications for root canal retreatment. A clinical case of endodontic retreatment is presented.
KEYWORDS: root canal treatment, endodontic
Dzięki ciągłemu rozwojowi endodoncji istnieje możliwość powtórnego leczenia endodontycznego zębów (ang. retreatment). Często pozwala to na zachowanie zęba, który pierwotnie skazany byłby na ekstrakcję. Z różnych przyczyn zdarza się, że leczenie endodontyczne nie zakończyło się sukcesem.
Powodami niepowodzenia mogą być:
- niekorzystna budowa anatomiczna systemu korzeniowego zęba,
- odkładanie się złogów mineralnych w komorze i kanałach doprowadzające do ich obliteracji,
- błędy jatrogenne.
Gdy wykonane leczenie endodontyczne zawiodło, należy przeprowadzić wnikliwe badanie i przedstawić [...]
którzy są subskrybentami naszego portalu.
i ciesz się dostępem do bazy merytorycznej wiedzy!


