Przewlekłe zapalenie tkanek okołowierzchołkowych – opis przypadku
Title: Chronic apical periodontitis – a case report
Streszczenie: Antyseptyczne leczenie kanałowe jest metodą leczenia przewlekłego zapalenia tkanek okołowierzchołkowych. W pracy przedstawiono opis przypadku, w którym postawiono powyższą diagnozę. Przewlekłe zapalenie tkanek okołowierzchołkowych często przebiega bezobjawowo, ze względu na znaczną resorpcję kości daje wyraźny obraz na zdjęciach rtg. Po zakończeniu leczenia konieczne są obserwacja oraz kontrolne zdjęcia rtg. po 3, 6 i 12 miesiącach.
Słowa kluczowe: przewlekłe zapalenie tkanek okołowierzchołkowych, antyseptyczne leczenie kanałowe, system kanałów korzeniowych, przetoka
Summary: The antiseptic endodontic therapy is a treatment procedure of the chronic inflammation of periapical tissues. The paper presents a case in which the above diagnosis was made. Chronic apical periodontitis is often asymptomatic; due to significant bone resorption it gives a clear image in X-ray images. After the treatment, it is necessary to monitor a patient and control X-ray images after 3, 6 and 12 months.
Keywords: chronic apical periodontitis, antiseptic endodontic therapy, system of root canals, fistula
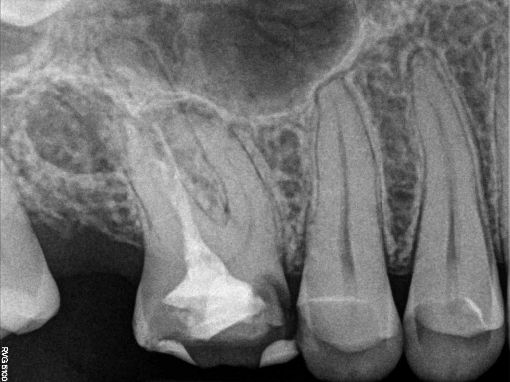
Przewlekłe zapalenia tkanek okołowierzchołkowych (PZTO) toczą się powoli, bezobjawowo, miesiącami lub latami. Wykrywane są w fazie zaostrzenia (chory szuka pomocy u lekarza) lub przypadkowo na zdjęciach rtg. wykonanych w celach diagnostycznych. Ich przyczynami są czynniki zakaźne (bakterie znajdujące się w miazdze w stanie rozpadu zgorzelinowego) oraz niezakaźne (chemiczne, termiczne, mechaniczne, autoalergiczne). Pierwszym objawem radiologicznym jest poszerzenie szpary ozębnowej, a w zaawansowanym stadium – przerwanie jej ciągłości, co jest związane ze znaczną resorpcją kości wyrostka zębodołowego (1).
Metodą leczenia PZTO jest antyseptyczne leczenie kanałowe. Polega ono na dokładnym oczyszczeniu, odpowiednim ukształtowaniu oraz szczelnym wypełnieniu systemu kanałowego. W trakcie leczenia stosowane są środki dezynfekujące do kanału pomiędzy wizytami, które nie są konieczne, gdy leczeniu podlegają zęby z miazgą niezainfekowaną (2).
Ponieważ system kanałowy często wykazuje [...]
którzy są subskrybentami naszego portalu.
i ciesz się dostępem do bazy merytorycznej wiedzy!



