Postępowanie z zatrzymanym na skutek torbieli zęba mlecznego zębem przedtrzonowym z dilaceracją korzenia – opis przypadku
- Torbiele korzeniowe - czym są, jak wpływają na leczenie ortodontyczne pacjenta w wieku rozwojowym?
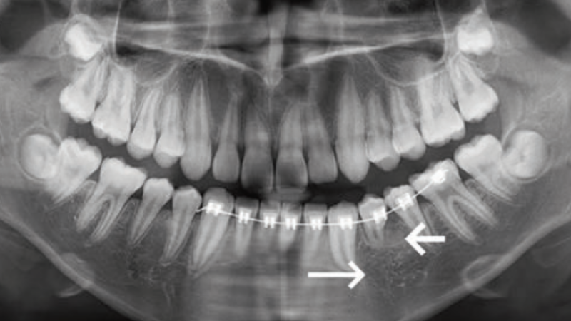
- Przypadek 11-letniego chłopca, u którego zastosowano odbarczenie i drenaż torbieli korzeniowej przy zębie mlecznym.
- Opis sprowadzenia zęba stałego z dilaceracją korzenia do łuku.

Słowa kluczowe: opis przypadku, ząb zatrzymany, ortodontyczne sprowadzanie, mleczny ząb trzonowy, torbiel korzeniowa, dilaceracja/zakrzywienie korzenia
Keywords: case report, impacted teeth, orthodontic traction; primary molar, radicular cysts, root dilaceration
Streszczenie: Torbiele korzeniowe są najczęstszymi zapalnymi torbielami zębopochodnymi w jamie ustnej. Torbiele korzeniowe zębów mlecznych mogą prowadzić do dilaceracji korzenia przyszłego zęba stałego, skutkując zatrzymaniem zęba stałego. Przedstawiamy przypadek 11-letniego chłopca, u którego wykonano odbarczenie i drenaż torbieli korzeniowej zęba mlecznego, a następnie dokonano wczesnej ortodontycznej trakcji zęba z dilaceracją korzenia. Torbiel wygoiła się w pełni, a zatrzymany ząb przedtrzonowy został stopniowo wprowadzony do łuku z uzyskaniem korzystnego rozwoju korzenia. Przypadek ten pokazuje, że wykonane na czas odbarczenie torbieli zęba mlecznego może skutecznie ochronić ząb stały. Ponadto w przypadkach, w których doszło już do zatrzymania zęba stałego z [...]
którzy są subskrybentami naszego portalu.
i ciesz się dostępem do bazy merytorycznej wiedzy!



