Urazowe uszkodzenie zęba stałego na skutek przebytego napadu padaczki – opis przypadku
- Etiologia urazów zębów.
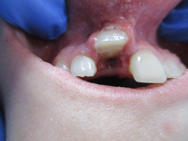
- W pracy przedstawiono przypadek złożonego urazu zęba stałego oraz postępowania bezpośrednio po urazie, który nastąpił na skutek przebytego napadu padaczki.

Title: Permanent tooth trauma after the epileptic seizure – a case report
Streszczenie: W etiologii urazów zębów najczęstszymi przyczynami bywają upadek i uderzenie zębami o twardy przedmiot. Urazom zębów mogą towarzyszyć uszkodzenia: wyrostków zębodołowych, kości szczęki czy żuchwy, jak również tkanek miękkich powłok twarzy, warg, błony śluzowej jamy ustnej lub języka. U osób chorych na padaczkę stwierdza się urazowe uszkodzenie zębów, przy czym 1/3 takich przypadków wiąże się etiologicznie z napadami padaczki (1). W pracy przedstawiono przypadek złożonego urazu zęba stałego oraz postępowania bezpośrednio po urazie, który nastąpił na skutek przebytego napadu padaczki.
Słowa kluczowe: uraz zęba stałego, napad padaczki, szynowanie zęba po urazie
Summary: In the etiology of dental trauma the most frequent cause is hitting a hard object. Alveolar bone, maxillary or mandibular fractures, as well as facial soft tissue, lip, oral mucosa and tongue injuries may be co-incidental to dental trauma. Post-traumatic tooth injuries often occur in persons suffering from epilepsy. [...]
którzy są subskrybentami naszego portalu.
i ciesz się dostępem do bazy merytorycznej wiedzy!



