Odległe wyniki retainerów klejonych metodą pośrednią. Doświadczenia własne
- Wyniki badań i ich omówienie.
- Awaryjność aparatów retencyjnych.
- Czy retainer jest komfortowym aparatem retencyjnym w odczuciu pacjentów?

Słowa kluczowe: retainer stały, retencja, leczenie retencyjne
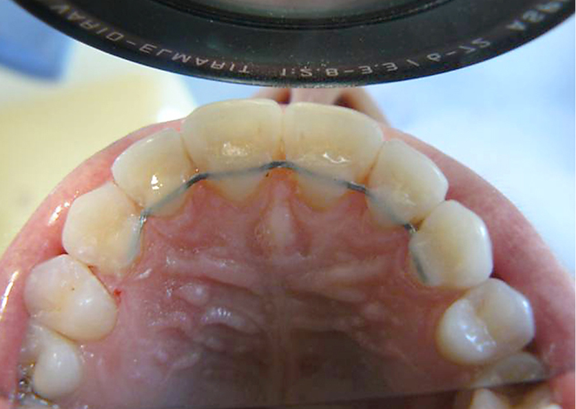
Streszczenie: Wstęp. Publikacje ortodontyczne ostatnich lat wskazują na konieczność długotrwałego utrzymania uzyskanych wyników leczenia za pomocą aparatów stałych. Pacjenci, decydując się na leczenie ortodontyczne, bardzo często nie są świadomi, że po zdjęciu aparatów ortodontycznych niezbędna jest kontynuacja leczenia aparatami retencyjnymi. Celem systematycznych kontroli w okresie retencyjnym jest zapobieganie nawrotom wad zgryzu i zmian w ustawieniu zębów. Najczęściej stosowanymi aparatami retencyjnymi są retainery stałe, które składają się z kilku spiralnie skręconych drutów ze stali sprężystej, a ich średnica, zależnie od producenta, waha się w granicach 0,4-0,5 mm. Przyklejane są do zębów najczęściej za pomocą światłoutwardzalnych materiałów kompozytowych. Dobór metody klejenia retainerów stałych jest dowolny. Istnieje możliwość klejenia metodą bezpośrednią lub pośrednią. Cel pracy. W pracy zostaną przedstawione odległe wyniki uzyskane ze stosowania retainerów stałych klejonych metodą pośrednią.
Materiał i metodyka. Badaniem objęto 72 pacjentów po leczeniu aparatami stałymi noszących retainery przyklejone metodą pośrednią. Każdy z retainerów został wykonany z drutu czworokątnego Bond-a-Bride firmy Reliance. Jest to miękki, płaski drut składający się z 8 splecionych nitek stalowych o wymiarze 0,673 mm [...]
którzy są subskrybentami naszego portalu.
i ciesz się dostępem do bazy merytorycznej wiedzy!




