Zaburzenie wyrzynania stałego odpowiednika przy reinkluzji zęba mlecznego – opis przypadku oraz przegląd piśmiennictwa

Streszczenie: Celem pracy jest omówienie etiopatogenezy procesu reinkluzji, objawów klinicznych i radiologicznych oraz sposobów leczenia w oparciu o piśmiennictwo. Przedstawiono przypadek pacjenta z całkowitą reinkluzją zęba 75, która doprowadziła do poziomego zatrzymania stałego następcy. Ząb usunięto chirurgicznie, po pięciu miesiącach kontrolne badanie radiologiczne wykazało sukces terapeutyczny w postaci samoistnej pionizacji zatrzymanego zęba 35. W pracy podkreślono, jak ważne są wczesna diagnostyka jako prewencja możliwych powikłań oraz wybór odpowiedniego sposobu leczenia.
Słowa kluczowe: reinkluzja, infraokluzja, zęby mleczne, wymiana uzębienia
Reinkluzja jest procesem, który polega na ponownym zagłębianiu się w kości wyrostka zębodołowego zęba, który wcześniej całkowicie lub częściowo uległ wyrznięciu. W piśmiennictwie zjawisko to określane jest również jako: infraokluzja, infrapozycja, ząb zatopiony lub zanurzony [1, 2]. Do reinkluzji dochodzi głównie w okresie wymiany uzębienia i mogą jej ulegać wszystkie zęby trzonowe mleczne, wyjątkowo mleczne kły. Zjawisko to rzadko może dotyczyć również pierwszych zębów trzonowych stałych [3]. Częstość występowania tego zaburzenia w populacji polskiej waha się od 0,07 do 1%, zaś w populacji zagranicznej dotyczy 1-9% [4].
Wyróżnia się następujące rodzaje reinkluzji:
- reinkluzję częściową, kiedy ząb ulega zatopieniu do połowy wysokości koron sąsiadujących zębów (faza A1) lub głębiej (faza A2),
- reinkluzję całkowitą (faza B), kiedy ząb zanurza się pod błonę śluzową, zachowując kontakt ze środowiskiem jamy ustnej przez wąski kanał wyścielony nabłonkiem [1, 2, 5-7].
Wyodrębnia się również inny podział oparty na stopniu oddalenia zęba od płaszczyzny zgryzowej, który podaje się w milimetrach. Stopień I określany jest jako infraokluzja łagodna, gdy ząb oddalony jest od płaszczyzny okluzji o 1-2 mm, stopień II – infraokluzja umiarkowana, gdy odległość wynosi 2-5 mm, a stopień III – jako infraokluzja zaawansowana – odległość powyżej 5 mm [8].
Etiopatogeneza tej jednostki chorobowej nie jest do końca wyjaśniona. Najstarszą teorią opisującą mechanizm powstawania reinkluzji jest teoria mechaniczna, która zakłada, że ząb mleczny, który nie osiągnął płaszczyzny zgryzu, ulega naciskom mezjodystalnym przez wyrzynające się stałe zęby trzonowe, które przechylają się w kierunku zęba zagłębionego, a dalsza reinkluzja jest wynikiem oddziaływania sił okluzyjnych i mięśniowych [6].
Według innej teorii, tzw. „inercji kostnej”, reinkluzja spowodowana jest niezdolnością kości do przemian tkankowych w procesie fizjologicznego wyrzynania zębów, co skutkuje zatrzymaniem rozwoju i wzrostu zęba oraz otaczającej go kości, przy stałym i nieprzerwanym wzroście pionowym pozostałych zębów i tkanek otaczających. W amerykańskim piśmiennictwie najbardziej popularna jest teoria ankylozy, według której w obrębie korzenia powstaje zrost zębinowo-kostny [5, 7]. Za przyczyny reinkluzji uznawane są również: zaburzenia endokrynologiczne, urazy oraz współwystępowanie dysfunkcji mięśniowych, prawdopodobne jest również podłoże genetyczne [3, 4].
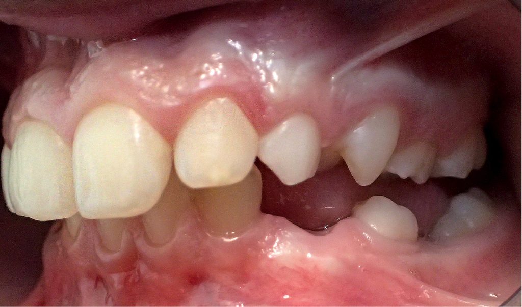
Do objawów reinkluzji należy charakterystyczny obraz kliniczny, w którym ząb zatopiony pozostaje w infraokluzji względem antagonistów, powstaje szpara niedogryzowa. Czasami dochodzi do wydłużenia korony zęba przeciwstawnego, obserwowane jest również nachylenie koron zębów sąsiadujących w kierunku luki. Ząb reinkludowany ma odgłos opukowy ostry, dźwięczny w porównaniu ze stłumionym w zębach z nieuszkodzoną ozębną, która amortyzuje uderzenie [5]. Obserwuje się także fałd śluzówkowo-okostnowo-kostny, który otacza ząb reinkludowany, oraz przesunięcie linii pośrodkowej w łuku zębowym, w którym doszło do reinkluzji jednostronnej [6]. Badaniem radiologicznym można stwierdzić: nieregularne, „chmurkowate” zagęszczenia w obrębie kości otaczającej reinkludowany ząb, rozwarcie kąta między korzeniami zęba, nierównomierny obrys blaszki zbitej, której strukturę określa się jako „pogryzioną przez mole” [3, 9]. Histologicznie w komorze zęba reinkludowanego stwierdza się zmiany wsteczne i zwyrodnieniowe, jak również liczne zwapnienia [6, 9]. Proces reinkluzji może wiązać się z wystąpieniem poważnych powikłań, do których zalicza się: nieprawidłowe położenie zębów sąsiednich, niedorozwój wyrostka zębodołowego, skrócenie łuku zębowego, przemieszczenie w kości zawiązka zęba stałego [2]. Obustronnie występująca reinkluzja zębów w żuchwie może prowadzić do zaburzeń zgryzowych klasy II [3]. Postępowanie w przypadku zęba reinkludowanego jest zależne od: tempa i stopnia zagłębiania się zęba, wieku pacjenta, topografii i obecności zawiązków zębów stałych, zgryzu [6]. W przypadku reinkluzji niewielkiego stopnia zaleca się obserwację oraz nadbudowę za pomocą nakładu ceramicznego w celu zapobiegnięcia ekstruzji zęba przeciwstawnego. Leczenie ekstrakcyjne podejmuje się wówczas, gdy ząb zatopiony zaburza wyrzynanie stałego następcy bądź przy braku zawiązka dochodzi do gwałtownego zagłębiania się zęba [5, 6].
Cel pracy
Celem pracy było przedstawienie wpływu nieleczonej reinkluzji zęba mlecznego w żuchwie na rozwój i położenie zawiązka stałego następcy, zwrócenie uwagi na celowość wczesnej diagnostyki, konsultacji interdyscyplinarnych, jak również ukazanie sukcesu postępowania klinicznego opartego na leczeniu chirurgicznym.
Przeczytaj wszystkie artykuły z kategorii ORTODONCJA W PRAKTYCE











