Brak pojedynczego zęba – przypadek prosty, a może skomplikowany?
- Korona na wszczepie śródkostnym.
- Most protetyczny.
- Most adhezyjny.

TITLE: Lack of a single tooth – a simple or complicated case?
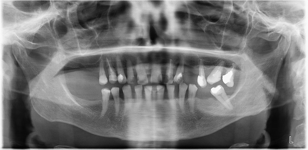
STRESZCZENIE: Uzupełnienie braku pojedynczego zęba w opinii wielu stomatologów nie jest skomplikowane. W takiej sytuacji w pierwszej kolejności przy wyborze sposobu odtworzenia funkcji i estetyki powinno się brać pod uwagę leczenie implantoprotetyczne. Jednakże warunki miejscowe i/lub ogólne bądź względy ekonomiczne często nie pozwalają na wykorzystanie tej metody. W związku z tym nasuwa się pytanie, jakie mamy alternatywy dla korony na wszczepie śródkostnym.
W artykule, na podstawie opisu przypadku klinicznego z nieprawidłowym uzupełnieniem protetycznym, przedstawiono różne sposoby rehabilitacji układu stomatognatycznego oraz ich wady i zalety.
SŁOWA KLUCZOWE: proteza częściowa ruchoma, proteza częściowa stała, implant śródkostny, nieprawidłowe leczenie
SUMMARY: Prosthodontic rehabilitation of a single tooth in the opinion of many dentists is not a complicated problem. In such a case, implant treatment should be considered as the first method of restoring function and aesthetics. However, local or general conditions or economic considerations often do not allow to use this method. Therefore, the question arises: what are the alternatives to a crown based on an implant?
In the article, on the basis of the [...]
którzy są subskrybentami naszego portalu.
i ciesz się dostępem do bazy merytorycznej wiedzy!



