Diagnostyka obrazowa diastemy – opis przypadków
- Czym jest diastema?
- Czynniki powodujące występowanie.
- Badania dostarczają szczegółowych informacji na temat etiologii zaburzenia oraz umożliwiają dobór odpowiedniego postępowania terapeutycznego.

Streszczenie: Diastema jest przykładem szparowatości między zębami siecznymi przyśrodkowymi i może być spowodowana różnymi czynnikami. Występuje ona fizjologicznie, w przypadku wymiany uzębienia mlecznego na stałe bądź jest spowodowana zaburzeniami zarówno wrodzonymi, jak i nabytymi. Ich przykładem jest występowanie zęba nadliczbowego, hipodoncji jako przeszkody w wyrzynaniu, przedwczesnej utraty zębów siecznych bocznych. Wśród przyczyn pozazębowych wyróżnia się: przerośnięte wędzidełko wargi górnej, torbiel w przednim odcinku szczęki czy też rozszczep podniebienia. Uzupełnieniem badania klinicznego w diagnostyce diastemy jest diagnostyka obrazowa, tj.: zdjęcie RTG zębowe, pantomogram, CBCT. Badania te dostarczają szczegółowych informacji na temat etiologii zaburzenia oraz umożliwiają dobór odpowiedniego postępowania terapeutycznego.
Słowa kluczowe: diastema, diagnostyka obrazowa, ortodoncja
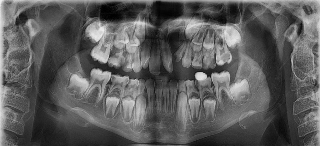
Diastema jest nieprawidłowością zębową, która dotyczy od 1,6% do 24,5% osób dorosłych [1]. Dla wielu pacjentów stanowi ona znaczący problem estetyczny, który często powikłany jest zaburzeniami funkcjonalnymi. Prawidłowe postępowanie diagnostyczne składa się z badania klinicznego poszerzonego o diagnostykę radiologiczną. Diastema występuje fizjologicznie w tzw. okresie „brzydkiego kaczątka”, tj. przed wyrznięciem się kłów górnych, które według Proffita wyrzynają się około 11,5 roku życia [2, [...]



