Edentulism – leczenie pacjentów niskoprofilowym systemem Rhein’83
- Rehabilitacja implantoprotetyczna pacjenta z dużym zanikiem wyrostka zębodołowego szczęki z wykorzystaniem nowoczesnych technologii cyfrowych.

TITLE: Edentulism – treatment of patients with the low-profile Rhein’83 system
STRESZCZENIE: Rehabilitacja implantoprotetyczna pacjenta z dużym zanikiem wyrostka zębodołowego szczęki z wykorzystaniem nowoczesnych technologii cyfrowych.
SŁOWA KLUCZOWE: rehabilitacja implantoprotetyczna, technologie cyfrowe
SUMMARY: Implant prosthetic rehabilitation of a patient with a large atrophy of the maxillary alveolar process using modern digital technologies.
KEYWORDS: implant prosthetic rehabilitation, digital technologies
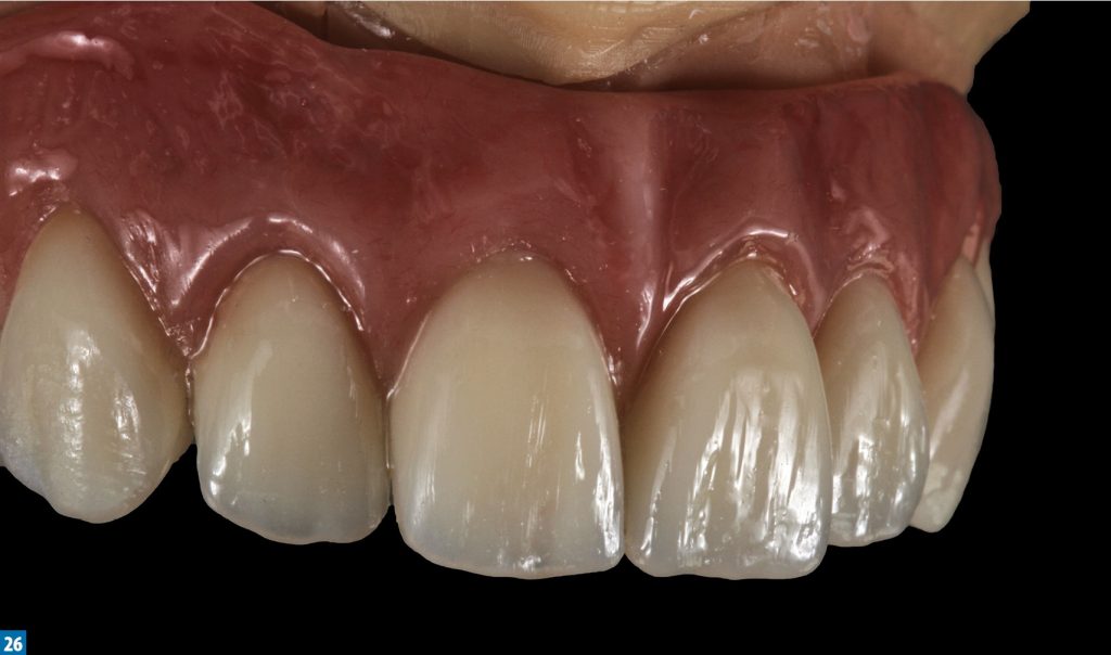
Kluczem do sukcesu współczesnej implantologii jest planowanie leczenia pod kontrolą protetyczną. Celem pracy jest przedstawienie przypadku klinicznego wykonanego przy pomocy w pełni cyfrowego przebiegu pracy z pacjentem z uzębieniem resztkowym, z dużym zanikiem kości wyrostka zębodołowego szczęki górnej. Pacjentka, 65-letnia kobieta, przeszła operację sterowaną komputerowo wszczepienia 4 implantów zębowych w celu podparcia protezy na tytanowej belce retencyjnej wykonanej w technologii CAD/CAM. Fazy analizy i ustalania planu leczenia były wspierane przez pozyskanie danych cyfrowych, które obejmowały: optyczne wyciski wewnątrzustne, skany twarzy, trójwymiarowe badanie radiograficzne, skanowanie wcześniej istniejącej protezy oraz nowy projekt protetyczny. Cyfrowe gromadzenie danych pacjenta pozwoliło na zaplanowanie i wykonanie leczenia implantoprotetycznego w prawidłowy, prosty i przewidywalny sposób. Wykonano protezę typu overdenture wspartą na implantach jako ostateczne rozwiązanie, składającą się z tytanowej belki retencyjnej z niskoprofilowym systemem [...]
którzy są subskrybentami naszego portalu.
i ciesz się dostępem do bazy merytorycznej wiedzy!



