Leczenie endodontyczne i odbudowa estetyczna zdwojonego siekacza centralnego z guzkiem szponowatym

Słowa kluczowe: zdwojony siekacz, guzek
Keywords: geminated incisor, cusp
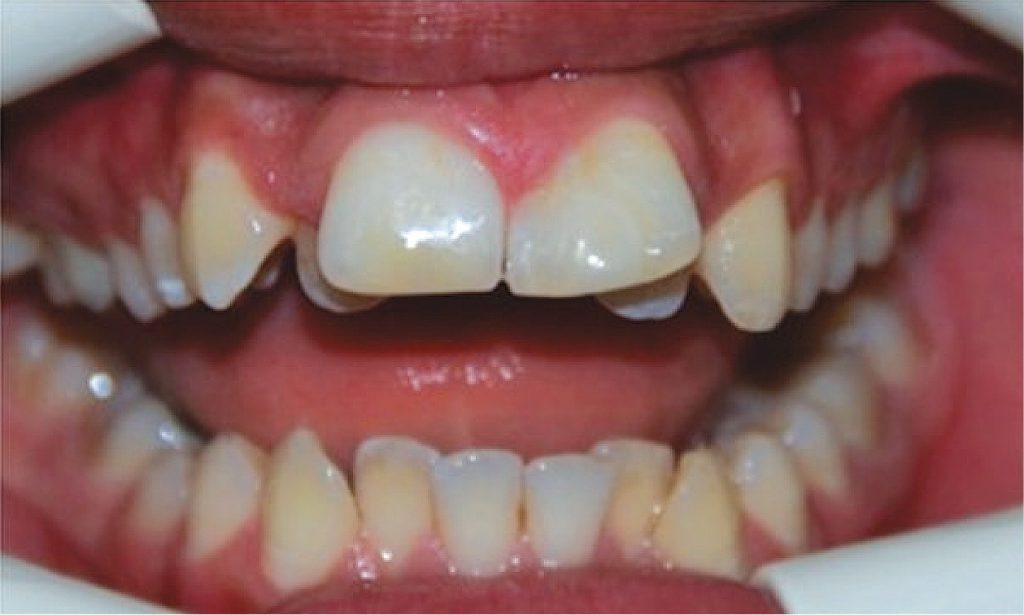
Streszczenie: Zdwojenie zęba z obecnością guzka szponowatego to rzadka anomalia morfologiczna, na skutek której powstaje ząb o zwiększonej szerokości; może to powodować poważne problemy estetyczne i kliniczne, jak: nieprawidłowy wygląd zęba, ból, podatność na próchnicę i stłoczenie zębów. Tego rodzaju zaburzenia cechują się szczególnymi potrzebami terapeutycznymi ze względu na nieprawidłową budowę zęba i konieczność precyzyjnej diagnostyki radiologicznej. Skuteczność planu leczenia może zapewnić wielodyscyplinarne podejście, ukierunkowane na spełnienie wymagań w zakresie zarówno estetyki, jak i okluzji. Niniejsze doniesienie kazuistyczne przedstawia takie właśnie wielodyscyplinarne podejście do leczenia zęba bliźniaczego z obecnością guzka szponowatego w oparciu o wyniki badania klinicznego i badań radiologicznych.
Summary: Gemination with talon cusps is an uncommon morphologic dental anomaly, characterized by the formation of clinically wide tooth that can cause significant aesthetic and clinical problems including esthetic impairment, pain, caries susceptibility, and tooth crowding. These morphological dental anomalies have specific treatment needs due to the abnormal morphology and need virtuous radiologic diagnosis. Multidisciplinary approach can supply success of the treatment plan that can provide esthetic and occlusal requirements. In this case report, the multidisciplinary approach for the treatment of geminated tooth with talon cusp is presented with the clinical and radiographic findings.
[...]
którzy są subskrybentami naszego portalu.
i ciesz się dostępem do bazy merytorycznej wiedzy!




