Leczenie obustronnego zgryzu krzyżowego bocznego oraz przedniego zgryzu otwartego
Tytuł: Leczenie obustronnego zgryzu krzyżowego bocznego oraz przedniego zgryzu otwartego przy użyciu systemu ekspandera podniebiennego Invisalign®u pacjentki w okresie wzrostu

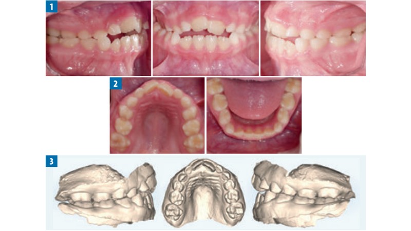
Title: Treatment of bilateral lateral crossbite and anterior open bite using the Invisalign® palatal expander system in a growing patient
Streszczenie: W artykule przedstawiono przypadek leczenia pacjentki ze stwierdzonym obustronnym zgryzem krzyżowym bocznym oraz nakładającymi się siekaczami i zgryzem otwartym za pomocą ekspandera podniebiennego Invisalign®.
Słowa kluczowe: obustronny zgryz krzyżowy boczny, ekspander podniebienny Invisalign®, przedni zgryz otwarty
Summary: The article presents a case of a patient with bilateral lateral crossbite, overlapping incisors and open bite treated with the Invisalign® palatal expander.
Keywords: bilateral lateral crossbite, Invisalign® palatal expander, anterior open bite
Wiele wad szkieletowych i skomplikowanych wad zgryzu wymaga ekspansji podniebienia i łuków zębowych. Stany te są tradycyjnie leczone za pomocą ruchomych i stałych ekspanderów, które wymagają zaangażowania ze strony pacjentów i ich rodziców. Aparaty te bywają przyczyną wizyt w trybie pilnym, gdy ulegną obluzowaniu lub uszkodzeniu, bądź gdy rodzice mają problemy z przekręcaniem śruby lub nie są pewni, jak należy tego dokonać. Co więcej, w niektórych przypadkach dochodzi do demineralizacji tkanek twardych i stanów zapalnych podniebienia oraz dziąseł pod aparatami. System ekspandera podniebiennego Invisalign® to nowy, ruchomy, skuteczny klinicznie1 aparat, który [...]
którzy są subskrybentami naszego portalu.
i ciesz się dostępem do bazy merytorycznej wiedzy!



