Leczenie pourazowe siekacza przyśrodkowego szczęki z resorpcją zewnętrzną korzenia
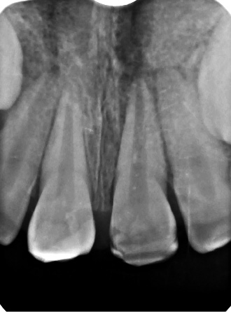
- Artykuł przedstawia przypadek 8-letniego chłopca, u którego w wyniku intruzji zęba 21 doszło do powikłania pourazowego pod postacią resorpcji zewnętrznej korzenia.
- Jak przeprowadzić skuteczne leczenie?

TITLE: Post-trauma treatment of central upper incisor with external root resorption
STRESZCZENIE: Artykuł przedstawia przypadek 8-letniego chłopca, u którego w wyniku intruzji zęba 21 doszło do powikłania pourazowego pod postacią resorpcji zewnętrznej korzenia. Poza efektami urazu, które uwidaczniają się natychmiast po jego wystąpieniu, nie należy zapominać o jego odległych skutkach, które również mogą zagrozić utrzymaniu zęba w jamie ustnej. W artykule opisano przebieg całego procesu leczenia oraz 12-miesięczne obserwacje radiologiczne.
SŁOWA KLUCZOWE: uraz zębowy, intruzja, resorpcja zewnętrzna korzenia
SUMMARY: This article presents 8-years-old boy case, in which intrusion of tooth 21 resulted in external root resorption as a post-trauma complication. Despite the immediate effects of dental trauma we cannot forget about the distant complications, which may also affect tooth retention. This article describes the whole treatment process and 12-months radiological follow-up.
KEYWORDS: dental trauma, intrusion, external root resorption
Jedną z przyczyn pojawiania się młodych pacjentów u lekarza stomatologa są urazy zębów. Na rezultaty leczenia wpływają nie tylko zastosowane postępowanie, materiały czy leki, ale również czynniki związane [...]




