Prewencja próchnicy i zapaleń dziąseł u pacjentów ortodontycznych z niedostateczną higieną
- Rodzaje aparatów ortodontycznych a higiena. Bariery w utrzymaniu higieny.
- Pacjent ortodontyczny jako wyzwanie profilaktyczne.
- Mechanizmy powstawania powikłań w leczeniu ortodontycznym.

TITLE: Prevention of caries and gingivitis in orthodontic patients with insufficient hygiene
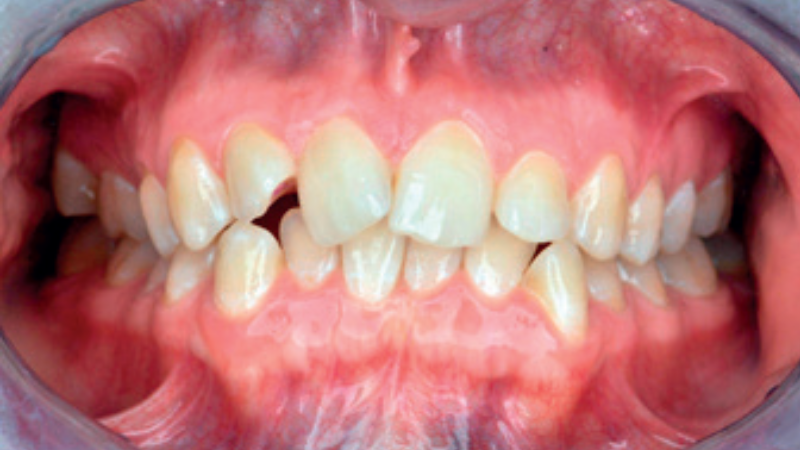
STRESZCZENIE: Aparaty ortodontyczne, poprzez utrudnianie codziennej higieny, sprzyjają retencji płytki nazębnej, demineralizacji szkliwa oraz rozwojowi stanów zapalnych dziąseł, dlatego skuteczna profilaktyka powinna stanowić integralną część procesu leczenia ortodontycznego, a nie jedynie jego uzupełnienie. W artykule opisano sposoby codziennej higienizacji jamy ustnej u pacjenta ortodontycznego.
SŁOWA KLUCZOWE: profilaktyka, pacjent ortodontyczny, płytka nazębna
SUMMARY: Orthodontic appliances, by hindering daily oral hygiene, promote plaque retention, enamel demineralization, and the development of gingivitis. Therefore, effective preventive care should be an integral part of orthodontic treatment, not merely a supplement. This article describes methods of daily oral hygiene for orthodontic patients.
KEYWORDS: prevention, orthodontic patient, dental plaque
Według badań epidemiologicznych wady zgryzu dotyczą prawie 90% populacji, stanowiąc wyzwanie dla współczesnej ortodoncji (1). Z kolei pacjent poddawany leczeniu ortodontycznemu staje się wyzwaniem interdyscyplinarnym – wymagającym współpracy ortodonty, stomatologa ogólnego, periodontologa i higienistki stomatologicznej w celu skutecznej prewencji zmian próchnicowych i zapalnych. Aparaty ortodontyczne, poprzez utrudnianie codziennej higieny, [...]
którzy są subskrybentami naszego portalu.
i ciesz się dostępem do bazy merytorycznej wiedzy!


