Przebieg niechirurgicznego leczenia rozległej zmiany okołowierzchołkowej – opis przypadku
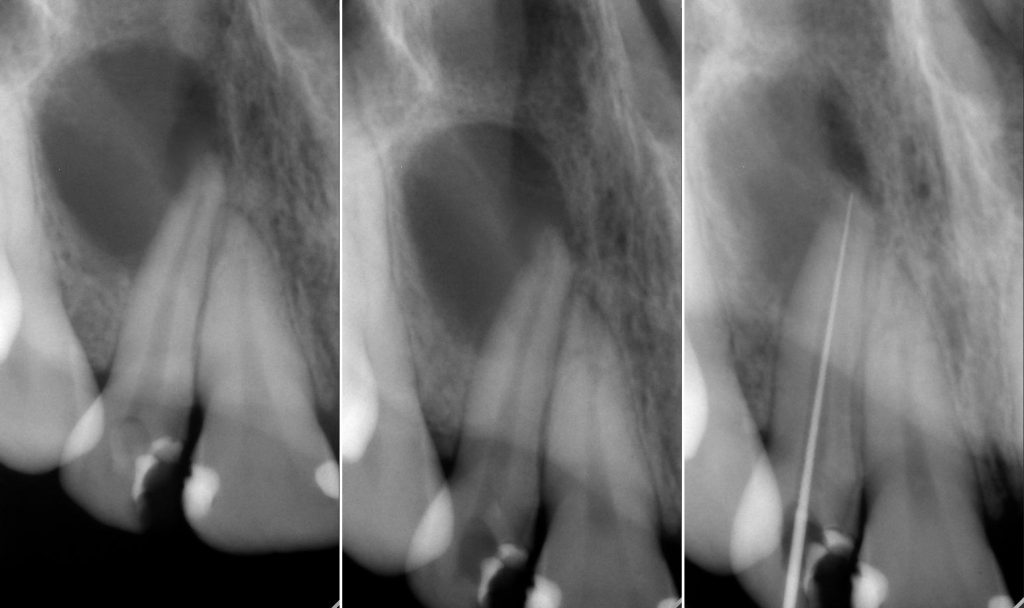
- Praca przedstawia przebieg leczenia endodontycznego górnego prawego bocznego zęba siecznego.
- Klasyfikacje kliniczne chorób okołowierzchołkowych tkanek zęba.

Title: Nonsurgical treatment of a large periradicular lesion – a case report
Streszczenie: Praca przedstawia przebieg leczenia endodontycznego górnego prawego bocznego zęba siecznego. Objawy kliniczne i wykonana diagnostyka radiologiczna wskazywały na istnienie przewlekłego zaostrzonego zapalenia tkanek okołowierzchołkowych. Ze względu na rozległość zniszczenia tkanki kostnej brano pod uwagę konieczność przeprowadzenia leczenia chirurgicznego. Przypadek ten jest jednak przykładem, że leczenie kanałowe jako zachowawcze, niechirurgiczne postępowanie może prowadzić do gojenia się rozległej zmiany okołowierzchołkowej.
Słowa kluczowe: rozległa zmiana okołowierzchołkowa, leczenie endodontyczne, wodorotlenek wapnia, leczenie niechirurgiczne
Summary: The article aims to report the endodontic treatment of an upper right lateral incisor. The clinical symptoms and radiological diagnosis pointed at exacerbated chronic apical periodontitis. Due to the extensiveness of bone loss, a complementary surgical intervention was considered. This case report shows that a root canal treatment as a conservative, nonsurgical approach may lead to the appropriate healing of large lesions.
Keywords: large periradicular lesion, root canal treatment, calcium hydroxide, nonsurgical treatment
Przyzębie stanowi zespół tkanek otaczających i pokrywających korzenie zębów. Utworzone jest przez [...]
którzy są subskrybentami naszego portalu.
i ciesz się dostępem do bazy merytorycznej wiedzy!




