Reinkluzja zębów mlecznych – analiza przypadków
- Reinkluzja zębów mlecznych - cechy charakterystyczne.
- Efekty tego zaburzenia.
- Protokół postępowania w takich sytuacjach klinicznych.

Title: Reinclusion of deciduous teeth – a case report
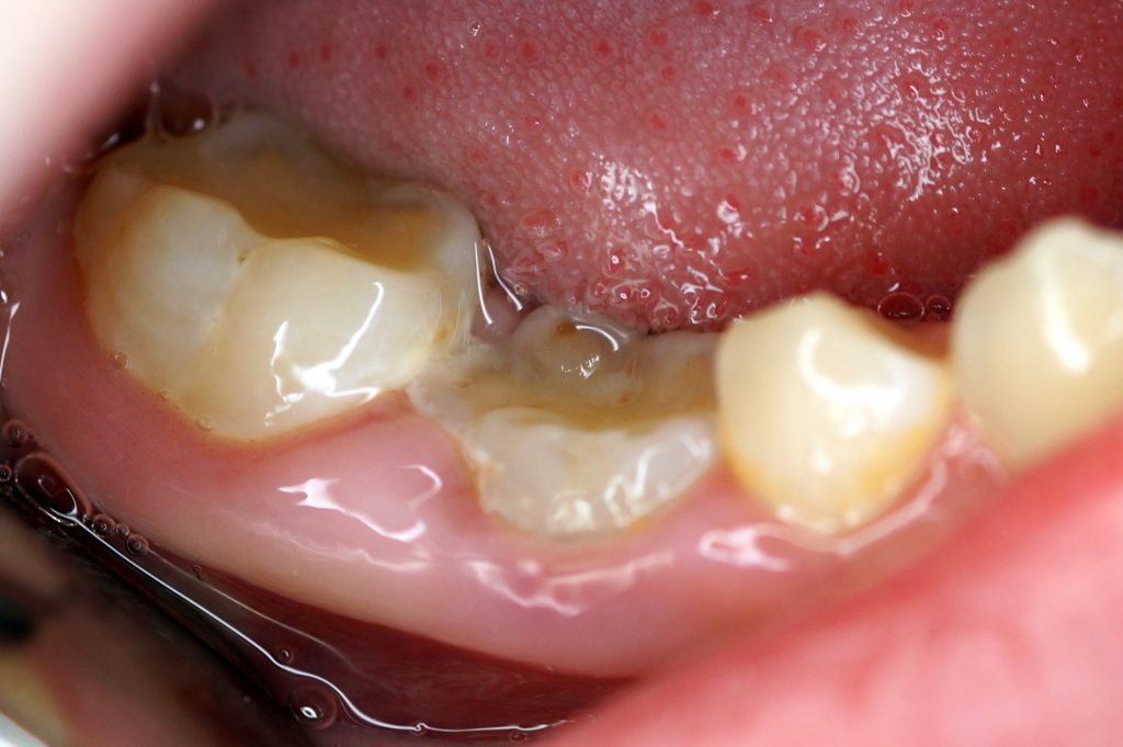
Streszczenie: Reinkluzja zębów mlecznych (reinclusion dentis) jest jedną z postaci zaburzeń zębowych, której cechą charakterystyczną jest powolne zagłębianie się zęba w kierunku wyrostka zębodołowego. Efektem tego zaburzenia jest obserwowana klinicznie utrata kontaktu okluzyjnego zęba w reinkluzji z zębami przeciwstawnymi. Niniejsza publikacja omawia w sposób szczegółowy protokół postępowania w takich sytuacjach klinicznych.
Słowa kluczowe: reinkluzja zębów mlecznych, infraokluzja
Summary: Reinclusion dentis is one of the forms of dental disorders that is characterized by a slow tooth implantation towards the alveolar process. The effect of this disorder is a clinically observed loss of occlusal tooth contact in reinclusion with opposing teeth. The publication discusses in detail the clinical protocol in such clinical situations.
Keywords: reinclusion, infraoclusion
Reinkluzja zębów mlecznych (reinclusion dentis) jest jedną z form zaburzeń zębowych, której cechą charakterystyczną jest powolne, nieuświadomione przez pacjenta zagłębianie się zęba w kierunku wyrostka zębodołowego. Proces ten ma miejsce podczas trwania funkcyjnej fazy wzrostu lub po całkowitym wyrznięciu zęba, który w przypadku braku prawidłowego rozpoznania i niepodjęcia leczenia może doprowadzić do jego całkowitego pokrycia. Ząb objęty tym zaburzeniem nie osiąga płaszczyzny zgryzowej lub po jej osiągnięciu ponownie zatapia się w kości. W literaturze naukowej pojęcie reinkluzji jest często [...]



