Resekcja wierzchołka korzenia policzkowego bliższego pierwszego górnego zęba trzonowego na podstawie opisu przypadku
- Jak prawidłowo leczyć pierwsze górne zęby trzonowe?
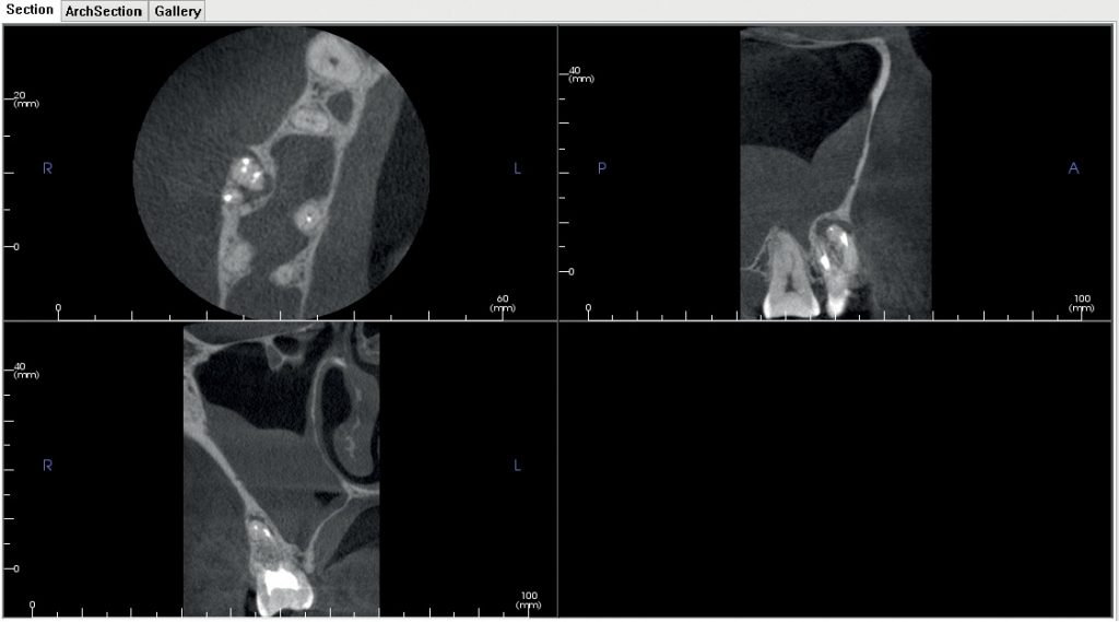
- Korzenie policzkowe - wyzwanie dla operatora.
- Diagnostyka w postaci stożkowej tomografii wolumetrycznej.

Title: Resection of the maxillary first molar mesiobuccal root apex – a case report
Słowa kluczowe: resekcja wierzchołka korzenia, pierwszy górny ząb trzonowy, komputerowa wolumetryczna tomografia stożkowa (CBCT)
Keywords: resection of the root apex, first upper molar, cone beam computed tomography (CBCT)
Streszczenie: Leczenie endodontyczne pierwszych górnych zębów trzonowych, ze względu na ich skomplikowaną anatomię i błędy proceduralne, może zakończyć się niepowodzeniem. Brak możliwości przeprowadzenia powtórnego leczenia kanałowego w przypadku zmian zapalnych w tkankach okołowierzchołkowych skłania do wprowadzenia metod chirurgicznych. Korzenie policzkowe bliższe posiadają zróżnicowaną konfigurację systemu kanałowego, co może stanowić wyzwanie dla operatora. Dodatkowa diagnostyka w postaci komputerowej stożkowej tomografii wolumetrycznej oraz zastosowanie odpowiedniego powiększenia podczas zabiegu mogą przyczynić się do osiągnięcia sukcesu leczenia. W artykule opisano przypadek resekcji wierzchołka korzenia policzkowego bliższego zęba 16, ze wstecznym usunięciem złamanego instrumentu oraz z retrowypełnieniem kanałów MB1 i MB2. 9-miesięczna obserwacja wykazała pozytywny wynik leczenia.
Summary: Endodontic treatment of the upper first molars may fail, due to their complicated anatomy and procedural errors. Impossibility of a retreatment, in the case of inflammatory changes in the [...]
którzy są subskrybentami naszego portalu.
i ciesz się dostępem do bazy merytorycznej wiedzy!



